Promotional price valid on web orders only. Your contract pricing may differ. Interested in signing up for a dedicated account number?
Learn More
Learn More
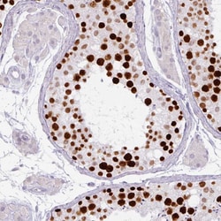
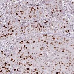
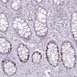
Invitrogen™ ATAD2 Monoclonal Antibody (CL0182)

Mouse Monoclonal Antibody
Supplier: Invitrogen™ MA534967
Description
Immunogen sequence: TAYAIIKEEL DEDFEQLCEE IQESRKKRGC SSSKYAPSYY HVMPKQNSTL VGDKRSDPEQ NEKLKTPSTP VACSTPAQLK RKIRKKSNWY LGTIKKRRKI SQAKDDSQNA IDHK.
ATAD2 is a member of the ATPase family of proteins. Members of this family share a conserved region of around 220 amino acids that contain an ATP-binding site. They also contain one or two AAA (ATPases Associated with Diverse Cellular Activities) domains. ATPase family proteins perform chaperone-like functions that assist in assembly, operation, and disassembly of protein complexes. Involved in the estrogen-induced cell proliferation and cell cycle progression of breast cancer cells.
Specifications
| ATAD2 | |
| Monoclonal | |
| 1.0 mg/mL | |
| PBS with 40% glycerol and 0.02% sodium azide; pH 7.2 | |
| Q6PL18 | |
| ATAD2 | |
| Recombinant Protein corresonding to Human ATAD2. | |
| 100 μL | |
| Primary | |
| Human | |
| Antibody | |
| IgG1 |
| Immunohistochemistry (Paraffin), Western Blot, Immunocytochemistry | |
| CL0182 | |
| Unconjugated | |
| ATAD2 | |
| 2610509G12Rik; AAA nuclear coregulator cancer-associated protein; ANCCA; Atad2; ATPase family AAA domain-containing protein 2; ATPase family, AAA domain containing 2; CT137; L16; PRO2000 | |
| Mouse | |
| Protein A | |
| RUO | |
| 29028 | |
| Store at 4°C short term. For long term storage, store at -20°C, avoiding freeze/thaw cycles. | |
| Liquid |
Product Content Correction
Your input is important to us. Please complete this form to provide feedback related to the content on this product.
Product Title
Spot an opportunity for improvement?Share a Content Correction