Promotional price valid on web orders only. Your contract pricing may differ. Interested in signing up for a dedicated account number?
Learn More
Learn More
Invitrogen™ ATE1 Polyclonal Antibody

Rabbit Polyclonal Antibody
Supplier: Invitrogen™ PA530429
Description
Recommended positive controls: 293T, A431, Jurkat, Raji. Store product as a concentrated solution. Centrifuge briefly prior to opening the vial.
Arginyl-tRNA-protein transferase (ATE1), also designated arginyltransferase 1, belongs to the R-transferase family of proteins. In order for a protein to be degraded via the ubiquitin pathway, arginylation of the protein is required. ATE1 plays an important role in this process, as it is important for the posttranslational conjugation of arginine to the N-terminal aspartate-, glutamate- and possibly cystine-contaning substrates. ATE1 is a 518 amino acid protein. Alternative splicing results in two distinct isoforms. ATE1, which is found as a monomer, can localize to the cytoplasm and/or the nucleus.
Specifications
ATE1 | |
Polyclonal | |
Unconjugated | |
ATE1 | |
AI225793; arginine-tRNA-protein transferase 1; arginine-tRNA--protein transferase 1; arginyltransferase 1; arginyl-tRNA-protein transferase; arginyl-tRNA--protein transferase 1; ATE1; AW547406; R-transferase 1 | |
Rabbit | |
Antigen affinity chromatography | |
RUO | |
11101 | |
Store at 4°C short term. For long term storage, store at -20°C, avoiding freeze/thaw cycles. | |
Liquid |
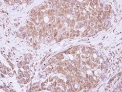
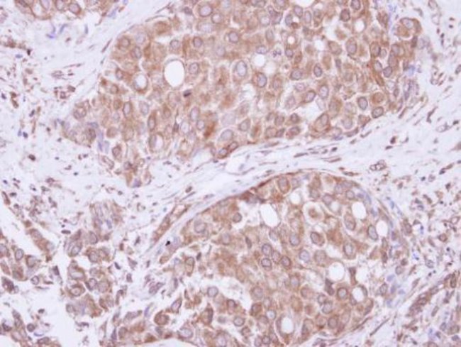
Immunohistochemistry (Paraffin), Western Blot | |
0.71 mg/mL | |
0.1M tris glycine with 20% glycerol and 0.01% thimerosal; pH 7 | |
O95260 | |
ATE1 | |
Recombinant protein encompassing a sequence within the center region of human ATE1. The exact sequence is proprietary. | |
100 μL | |
Primary | |
Human | |
Antibody | |
IgG |
Safety and Handling
WARNING: Cancer - www.P65Warnings.ca.gov
Product Content Correction
Your input is important to us. Please complete this form to provide feedback related to the content on this product.
Product Title
Spot an opportunity for improvement?Share a Content Correction