Promotional price valid on web orders only. Your contract pricing may differ. Interested in signing up for a dedicated account number?
Learn More

Invitrogen™ ATF6 Polyclonal Antibody

Rabbit Polyclonal Antibody

Supplier:  Invitrogen™ PA5114886

Catalog No. PIPA5114886


Only null left
Add to Cart

Description

Description

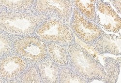
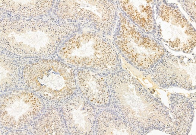
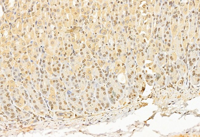
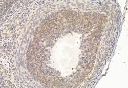
Antibody detects endogenous levels of total ATF6.

ATF6 is a transcription factor that acts during endoplasmic reticulum stress by activating unfolded protein response target genes. It binds DNA on the 5'-CCAC[GA]-3'half of the ER stress response element (ERSE) (5'-CCAAT-N(9)-CCAC[GA]-3') and of ERSE II (5'-ATTGG-N-CCACG-3'). Binding to ERSE requires binding of NF-Y to ERSE. ATF6 could also be involved in activation of transcription by the serum response factor. ATF6 exists as a homodimer and heterodimer with ATF6 beta. The dimer interacts with the nuclear transcription factor Y (NF-Y) trimer through direct binding to NF-Y subunit C (NF-YC). It Interacts also with the transcription factors GTF2I, YY1 and SRF. Under ER stress the cleaved N-terminal cytoplasmic domain translocates into the nucleus. The basic domain of ATF6 functions as a nuclear localization signal and the basic leucine-zipper domain is sufficient for association with the NF-Y trimer and binding to ERSE. During the unfolded protein response an approximately 50 kDa fragment containing the cytoplasmic transcription factor domain is released by proteolysis. The cleavage seems to be performed sequentially by site-1 and site-2 proteases. ATF6 is N-glycosylated, phosphorylated in vitro by MAPK14/P38MAPK and belongs to the bZIP family.
Specifications

Specifications

ATF6
Polyclonal
Unconjugated
ATF6
9130025P16Rik; 9630036G24; AA617266; AA789574; ACHM7; activating transcription factor 6; activating transcription factor 6 alpha; Activating transcription factor 6 beta; ATF 6; Atf6; ATF6 alpha; ATF6A; Atf6alpha; ATF6-alpha; Atf6b; ATF6beta; ATF6-beta; cAMP response element binding protein-related protein; cAMP response element-binding protein-related protein; cAMP responsive element binding protein-like 1; cAMP-dependent transcription factor ATF-6 alpha; cAMP-dependent transcription factor ATF-6 beta; cAMP-responsive element-binding protein-like 1; Crebl1; Creb-related protein; CREB-RP; Cyclic AMP-dependent transcription factor ATF-6 alpha; cyclic AMP-dependent transcription factor ATF-6 beta; DKFZp686P2194; ESTM49; FLJ21663; G13; Processed cyclic AMP-dependent transcription factor ATF-6 alpha; Processed cyclic AMP-dependent transcription factor ATF-6 beta; Protein G13
Rabbit
Affinity chromatography
RUO
12915, 1388, 226641, 22926, 304962, 406169
-20°C
Liquid
Immunohistochemistry (Paraffin), Western Blot, Immunocytochemistry
1 mg/mL
PBS with 50% glycerol and 0.02% sodium azide
F6VAN0, G3V909, O35451, P18850, Q99941
ATF6, ATF6B
A synthesized peptide derived from human ATF6(Accession P18850), corresponding to amino acid residues T289-K339.
100 μL
Primary
Human, Mouse, Rat
Antibody
IgG
Product Suggestions

Product Suggestions

Videos
SDS
Documents

Documents

Product Certifications
Promotions

Promotions

Product Content Correction

Your input is important to us. Please complete this form to provide feedback related to the content on this product.

Product Title

By clicking Submit, you acknowledge that you may be contacted by Fisher Scientific in regards to the feedback you have provided in this form. We will not share your information for any other purposes. All contact information provided shall also be maintained in accordance with our Privacy Policy.

Your feedback has been submitted: Thank you for helping us improve our website.