Promotional price valid on web orders only. Your contract pricing may differ. Interested in signing up for a dedicated account number?
Learn More

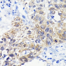
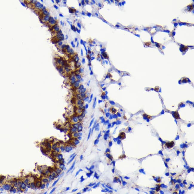
Invitrogen™ ATG3 Recombinant Rabbit Monoclonal Antibody (5D2W0)
GREENER_CHOICE

Rabbit Recombinant Monoclonal Antibody

Supplier:  Invitrogen™ MA535312

Catalog No. PIMA535312


Only null left
Add to Cart

Description

Description

Immunogen sequence: MQNVINTVKG KALEVAEYLT PVLKESKFKE TGVITPEEFV AAGDHLVHHC PTWQWATGEE LKVKAYLPTG KQFLVTKNVP CYKRCKQMEY SDELEAIIEE.

ATG3 (APG3) is a widely expressed conjugating enzyme for APG8 lipidation, an essential step for the initiation of autophagy. Autophagy, the process of bulk degradation of cellular proteins through an autophagosomic-lysosomal pathway is important for normal growth control and may be defective in tumor cells. Autophagy is involved in the preservation of cellular nutrients under starvation conditions as well as the normal turnover of cytosolic components. This process is negatively regulated by TOR (Target of rapamycin) through phosphorylation of autophagy protein APG1. ATG3 functions as an E2-like enzyme during the initial stages of autophagosome formation by catalyzing the formation of the Atg8-phosphatidylethanolamine (Atg8-PE) conjugate, which is critical for autophagy.
TRUSTED_SUSTAINABILITY
Specifications

Specifications

ATG3
Recombinant Monoclonal
0.23 mg/mL
PBS with 0.05% BSA, 50% glycerol and 0.02% sodium azide; pH 7.3
Q6AZ50, Q9CPX6, Q9NT62
ATG3
A synthetic peptide corresponding to a sequence within amino acids 1-100 of human Apg3 (Atg3) (Q9NT62).
100 μL
Primary
Human, Mouse, Rat
Antibody
IgG
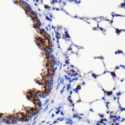
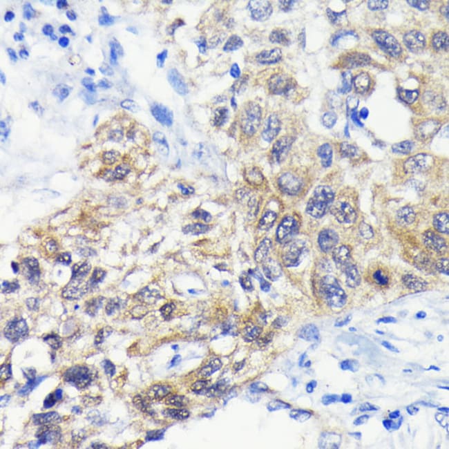
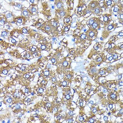
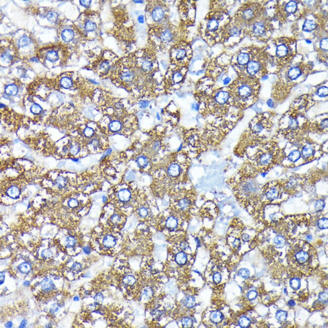
ELISA, Immunohistochemistry (Paraffin), Western Blot
5D2W0
Unconjugated
ATG3
2610016C12Rik; APG3; Apg3l; APG3-like; Apg3p; atg3; ATG3 autophagy related 3 homolog; atg3.S; Atg3l; autophagy related 3; autophagy related 3 S homeolog; autophagy-related 3; autophagy-related protein 3; DKFZp564M1178; EGK_11288; FLJ22125; hApg3; MGC15201; PC3-96; Pig1; PIG-1; preconditioning-inducible gene 1 protein; Protein PC3-96; Ubiquitin-like-conjugating enzyme ATG3; XELAEV_18014721mg
Rabbit
Affinity chromatography
RUO
171415, 64422, 67841
-20°C, Avoid Freeze/Thaw Cycles
Liquid
Product Suggestions

Product Suggestions

Videos
SDS
Documents

Documents

Product Certifications
Promotions

Promotions

Product Content Correction

Your input is important to us. Please complete this form to provide feedback related to the content on this product.

Product Title

By clicking Submit, you acknowledge that you may be contacted by Fisher Scientific in regards to the feedback you have provided in this form. We will not share your information for any other purposes. All contact information provided shall also be maintained in accordance with our Privacy Policy.

Your feedback has been submitted: Thank you for helping us improve our website.