Promotional price valid on web orders only. Your contract pricing may differ. Interested in signing up for a dedicated account number?
Learn More
Learn More
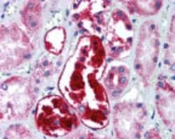
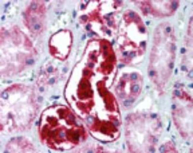
Invitrogen™ ATG5 Polyclonal Antibody

Rabbit Polyclonal Antibody
Supplier: Invitrogen™ PA523186
Description
Immunogen sequence homology: 100% homologous in Opossum, Equine, Canine, Monkey, Chimpanzee; Xenopus (80%).
ATG5 (Autophagy Related 5) is an important element for autophagy and may play an important role in the apoptotic process. ATG5 is also involved in other cellular processes that include mitochondrial quality control after oxidative damage, negative regulation of the innate anti-viral immune response, lymphocyte development and proliferation, MHC II antigen presentation, and adipocyte differentiation. Following conjugation to ATG12, the conjugate participates in the formation of autophagosome. ATG5 contributes to autophagic cell death by interacting with Fas-associated protein with death domain (FADD). The ATG5-ATG12 conjugate forms a cup-shaped isolation membrane that then detaches from the membrane immediately before or after autophagosome formation is completed. APG5 may play a role in the apoptotic process, possibly within the modified cytoskeleton. Further, APG5 expression is a relatively late event in the apoptotic process, occurring downstream of caspase activity. The APG5-APG12 conjugate also associates with innate immune response proteins such as RIG-I and VISA (also known as IPS-1), inhibiting type I interferon production and permitting viral replication in host cells. Diseases associated with ATG5 dysfunction include spinocerebellar ataxia.
Specifications
| ATG5 | |
| Polyclonal | |
| Unconjugated | |
| Atg5 | |
| 2010107M05Rik; 3110067M24Rik; APG 5; APG5; APG5 autophagy 5 like (APG5L); APG5 autophagy 5-like protein; APG5 autophagy 5-like protein, isoform 1; APG5L; APG5-LIKE; apoptosis-specific protein; Apoptosis-specific protein (ASP); ASP; atg5; Atg-5; ATG5 autophagy related 5 homolog; ATG5 autophagy related 5 homolog (S. cerevisiae); atg5.L; Atg5l; Atg5-PA; autophagy 5-like protein; autophagy protein 5; autophagy related 5; autophagy related 5 L homeolog; autophagy related 5-like protein; Autophagy-related 5; autophagy-specific gene 5; AW319544; C88337; CG1643; CG1643-PA; DmAtg5; Dmel\CG1643; Dmel_CG1643; hAPG5; hypothetical protein LOC532686; LD34980p; Paddy; XELAEV_18027227mg; zgc:100934 | |
| Rabbit | |
| Antigen affinity chromatography | |
| RUO | |
| 100739102, 11793, 365601, 532686, 641362, 9474 | |
| Store at 4°C short term. For long term storage, store at -20°C, avoiding freeze/thaw cycles. | |
| Liquid |
| Immunohistochemistry (Paraffin), Western Blot | |
| 1 mg/mL | |
| PBS with 0.02% sodium azide | |
| Q3MQ04, Q3MQ06, Q3MQ24, Q99J83, Q9H1Y0 | |
| Atg5 | |
| A portion of amino acid 1-50 of human APG5L. | |
| 100 μg | |
| Primary | |
| Human, Mouse, Rat, Bovine, Pig | |
| Antibody | |
| IgG |
Safety and Handling
WARNING: Cancer - www.P65Warnings.ca.gov
Product Content Correction
Your input is important to us. Please complete this form to provide feedback related to the content on this product.
Product Title
Spot an opportunity for improvement?Share a Content Correction