Promotional price valid on web orders only. Your contract pricing may differ. Interested in signing up for a dedicated account number?
Learn More
Learn More
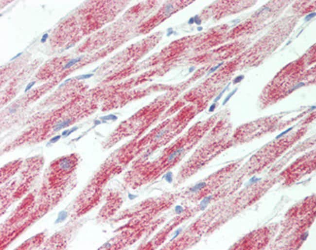
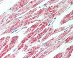
Invitrogen™ ATP Synthase gamma Polyclonal Antibody

Goat Polyclonal Antibody
Supplier: Invitrogen™ PA5143171
This item is not returnable.
View return policy
Description
Additional Information: This antibody is expected to recognize both reported isoforms (NP_005165.1; NP_001001973.1). This antibody is tested in Peptide ELISA: antibody detection limit dilution 1:128,000.
This gene encodes a subunit of mitochondrial ATP synthase. Mitochondrial ATP synthase catalyzes ATP synthesis, utilizing an electrochemical gradient of protons across the inner membrane during oxidative phosphorylation. ATP synthase is composed of two linked multi-subunit complexes: the soluble catalytic core, F1, and the membrane-spanning component, Fo, comprising the proton channel. The catalytic portion of mitochondrial ATP synthase consists of 5 different subunits (alpha, beta, gamma, delta, and epsilon) assembled with a stoichiometry of 3 alpha, 3 beta, and a single representative of the other 3. The proton channel consists of three main subunits (a, b, c). This gene encodes the gamma subunit of the catalytic core. Alternatively spliced transcript variants encoding different isoforms have been identified. This gene also has a pseudogene on chromosome 14.
Specifications
ATP Synthase gamma | |
Polyclonal | |
Unconjugated | |
ATP5F1C | |
1700094F02Rik; ATP synthase F1 subunit gamma; ATP synthase gamma chain, mitochondrial; ATP synthase gamma-subunit gene encoding a mitochondrial protein; ATP synthase subunit gamma, mitochondrial; ATP synthase, H+ transporting, mitochondrial F1 complex, gamma polypeptide 1; ATP5C; Atp5c1; ATP5CL1; ATP5F1C; F1 gamma; F-ATPase gamma subunit; mitochondrial ATP synthase, gamma subunit 1 | |
Goat | |
Ammonium Sulfate Precipitation | |
RUO | |
116550, 509 | |
-20°C, Avoid Freeze/Thaw Cycles | |
Liquid |
Immunohistochemistry (Paraffin), Western Blot | |
0.5 mg/mL | |
TBS with 0.5% BSA and 0.02% sodium azide; pH 7.3 | |
P35435, P36542 | |
ATP5F1C | |
Peptide with sequence C-TLTFNRTRQAVITKE. | |
100 μg | |
Primary | |
Human, Rat | |
Antibody | |
IgG |
Product Content Correction
Your input is important to us. Please complete this form to provide feedback related to the content on this product.
Product Title
Spot an opportunity for improvement?Share a Content Correction