Promotional price valid on web orders only. Your contract pricing may differ. Interested in signing up for a dedicated account number?
Learn More
Learn More
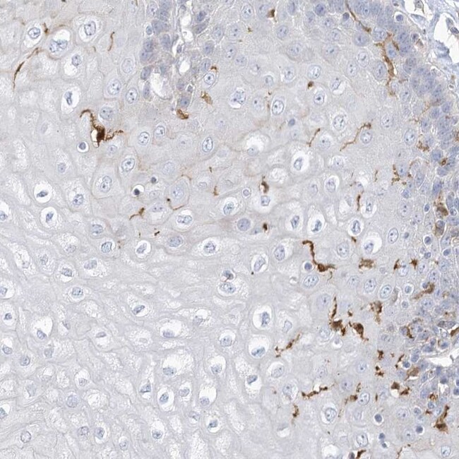
Invitrogen™ ATP13A1 Polyclonal Antibody

Rabbit Polyclonal Antibody
Supplier: Invitrogen™ PA556862
Description
Immunogen sequence: DKTGTLTSDS LVVRGVAGLR DGKEVTPVSS IPVETHRALA SCHSLMQLDD GTLVGDPLEK AMLTAVDWTL TKDEKVFPRS IKTQGL Highest antigen sequence identity to the following orthologs: Mouse - 99%, Rat - 99%.

Specifications
ATP13A1 | |
Polyclonal | |
Unconjugated | |
ATP13A1 | |
ATP13A; Atp13a1; ATPase 13A1; ATPase type 13A1; cation transporting ATPase; cation-transporting ATPase 2; catp; Cgi152; CGI-152; DKFZp761L1623; FLJ31858; FLJ41786; FLJ43873; FLJ90317; KIAA1825; Manganese-transporting ATPase 13A1; probable cation-transporting ATPase 13A1 | |
Rabbit | |
Antigen affinity chromatography | |
RUO | |
57130 | |
Store at 4°C short term. For long term storage, store at -20°C, avoiding freeze/thaw cycles. | |
Liquid |
Immunohistochemistry (Paraffin) | |
0.05 mg/mL | |
PBS with 40% glycerol and 0.02% sodium azide; pH 7.2 | |
Q9HD20 | |
ATP13A1 | |
Recombinant protein corresponding to Human ATP13A1. Recombinant protein control fragment (Product #RP-94977). | |
100 μL | |
Primary | |
Human | |
Antibody | |
IgG |
Product Content Correction
Your input is important to us. Please complete this form to provide feedback related to the content on this product.
Product Title
Spot an opportunity for improvement?Share a Content Correction