Learn More
Description
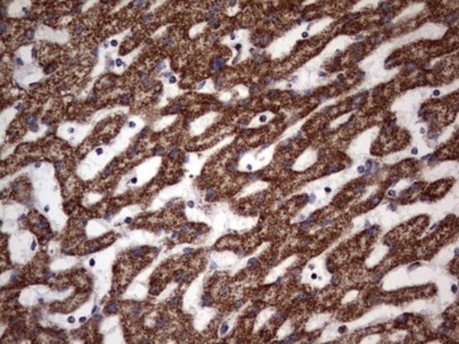
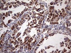
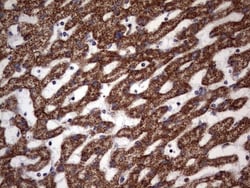
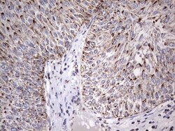
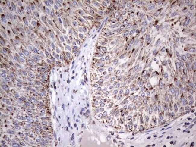
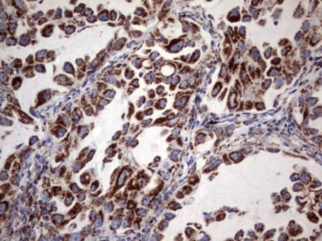
Ensure accurate, reproducible results in Western Blot, Immunohistochemistry
Specifications
Specifications
| Antigen | ATP5O |
| Applications | Western Blot, Immunohistochemistry |
| Classification | Monoclonal |
| Clone | OTI2E9 |
| Concentration | 1 mg/mL |
| Conjugate | Unconjugated |
| Dilution | Western Blot 1:2000, Immunohistochemistry 1:150 |
| Formulation | PBS (pH 7.3), 1.0% BSA and 50% Glycerol with 0.02% Sodium Azide |
| Gene Alias | ATP synthase, H+ transporting, mitochondrial F1 complex, O subunit, human ATP synthase OSCP subunit, oligomycin sensitivity conferring protein10ATPOATP synthase subunit O, mitochondrial, Oligomycin sensitivity conferral protein, oligomycin sensitivity conferring protein, OSCPhuman ATP synthase OSCP subunit |
| Gene Symbols | ATP5PO |
| Show More |
For Research Use Only
By clicking Submit, you acknowledge that you may be contacted by Fisher Scientific in regards to the feedback you have provided in this form. We will not share your information for any other purposes. All contact information provided shall also be maintained in accordance with our Privacy Policy.
