Promotional price valid on web orders only. Your contract pricing may differ. Interested in signing up for a dedicated account number?
Learn More
Learn More
Invitrogen™ ATP6V1G2 Polyclonal Antibody

Rabbit Polyclonal Antibody
Supplier: Invitrogen™ PA5116928
Description
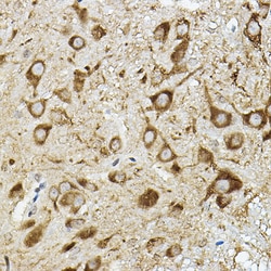
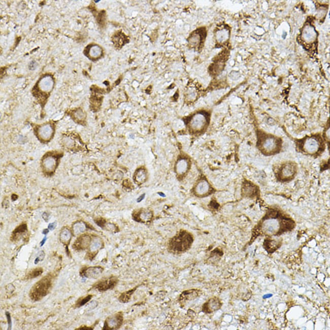
Positive Samples: SH-SY5Y, Mouse brain, Rat brain, Mouse eye Immunogen sequence: AQMEVEQYRR EREHEFQSKQ QAAMGSQGNL SAEVEQATRR QVQGMQSSQQ RNRERVLAQL L.
This gene encodes a component of vacuolar ATPase (V-ATPase), a multisubunit enzyme that mediates acidification of intracellular compartments of eukaryotic cells. V-ATPase dependent acidification is necessary for such intracellular processes as protein sorting, zymogen activation, receptor-mediated endocytosis, and synaptic vesicle proton gradient generation. V-ATPase is composed of a cytosolic V1 domain and a transmembrane V0 domain. The V1 domain consists of three A and three B subunits, two G subunits plus the C, D, E, F, and H subunits. The V1 domain contains the ATP catalytic site. The V0 domain consists of five different subunits: a, c, c', c, and d. Additional isoforms of many of the V1 and V0 subunit proteins are encoded by multiple genes or alternatively spliced transcript variants. This encoded protein is one of three V1 domain G subunit proteins. This gene had previous gene symbols of ATP6G and ATP6G2. Alternatively spliced transcript variants encoding different isoforms have been described. Read-through transcription also exists between this gene and the downstream DEAD (Asp-Glu-Ala-Asp) box polypeptide 39B (DDX39B) gene.
Specifications
| ATP6V1G2 | |
| Polyclonal | |
| Unconjugated | |
| ATP6V1G2 | |
| 1500002D01Rik; ATP6G; Atp6g2; ATP6V1G1; Atp6v1g2; ATPase H+ transporting V1 subunit G2; ATPase, H+ transporting, lysosomal (vacuolar proton pump); ATPase, H+ transporting, lysosomal 13kD, V1 subunit G; ATPase, H+ transporting, lysosomal 13kDa, V1 subunit G2; ATPase, H+ transporting, lysosomal V1 subunit G2; ATPase, H+ transporting, V1 subunit G; H(+)-transporting two-sector ATPase, subunit G2; LOC514368 protein; lysosomal 13kDa; NG38; vacuolar ATP synthase subunit G 2; vacuolar ATPase NG38; vacuolar proton pump G subunit 2; vacuolar proton pump subunit G 1; Vacuolar proton pump subunit G 2; VAG2; V-ATPase 13 kDa subunit 2; V-ATPase subunit G 1; V-ATPase subunit G 2; VMA10; V-type proton ATPase subunit G 1; V-type proton ATPase subunit G 2 | |
| Rabbit | |
| Affinity chromatography | |
| RUO | |
| 368044, 534, 66237 | |
| -20°C, Avoid Freeze/Thaw Cycles | |
| Liquid |
| ELISA, Immunohistochemistry (Paraffin), Western Blot | |
| 0.62 mg/mL | |
| PBS with 50% glycerol and 0.01% thimerosal; pH 7.3 | |
| O95670, Q9WTT4 | |
| ATP6V1G2 | |
| Recombinant fusion protein containing a sequence corresponding to amino acids 40-100 of human ATP6V1G2 (NP_5697301). | |
| 100 μL | |
| Primary | |
| Human, Mouse, Rat | |
| Antibody | |
| IgG |
Product Content Correction
Your input is important to us. Please complete this form to provide feedback related to the content on this product.
Product Title
Spot an opportunity for improvement?Share a Content Correction