Promotional price valid on web orders only. Your contract pricing may differ. Interested in signing up for a dedicated account number?
Learn More
Learn More
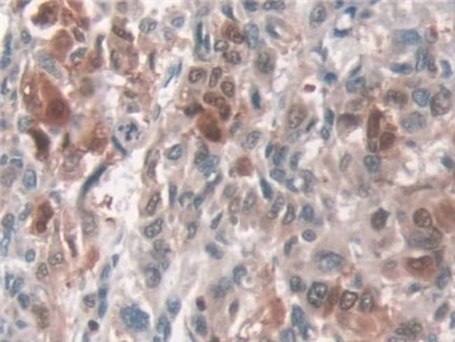
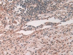
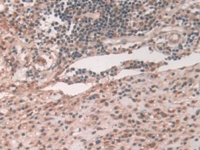
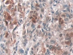
Invitrogen™ ATP7B Polyclonal Antibody, Invitrogen™

Rabbit Polyclonal Antibody
Supplier: Invitrogen™ PA5122222
This item is not returnable.
View return policy
Description
This gene is a member of the P-type cation transport ATPase family and encodes a protein with several membrane-spanning domains, an ATPase consensus sequence, a hinge domain, a phosphorylation site, and at least 2 putative copper-binding sites. This protein functions as a monomer, exporting copper out of the cells, such as the efflux of hepatic copper into the bile. Alternate transcriptional splice variants, encoding different isoforms with distinct cellular localizations, have been characterized. Mutations in this gene have been associated with Wilson disease (WD).
Specifications
ATP7B | |
Polyclonal | |
Unconjugated | |
Atp7b | |
Atp7a; ATP7B; ATPase copper transporting beta; ATPase, Cu(2+)- transporting, beta polypeptide; ATPase, Cu++ transporting, beta polypeptide; ATPase, Cu++ transporting, beta polypeptide (same as Wilson disease); copper pump 2; Copper-transporting ATPase 2; Hts; PINA; PINA gene, promoter; pineal night-specific ATPase; PWD; RP11-327P2.1; RP11-327P2.3; toxic milk; tx; WC1; WD; Wilson disease-associated protein; wilson disease-associated protein homolog; Wilson protein; Wnd; WND/140 kDa | |
Rabbit | |
Antigen affinity chromatography, Protein A | |
RUO | |
540 | |
Store at 4°C short term. For long term storage, store at -20°C, avoiding freeze/thaw cycles. | |
Liquid |
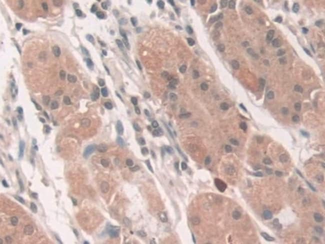
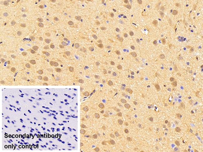
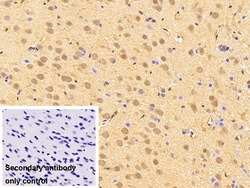
Immunohistochemistry (Paraffin), Western Blot | |
0.5 mg/mL | |
PBS with 50% glycerol and 0.05% ProClin 300; pH 7.4 | |
P35670 | |
Atp7b | |
Thr59-Val426 (Accession P35670), with N-terminal His Tag. | |
100 μL | |
Primary | |
Human | |
Antibody | |
IgG |
Safety and Handling
WARNING: Cancer - www.P65Warnings.ca.gov
Product Content Correction
Your input is important to us. Please complete this form to provide feedback related to the content on this product.
Product Title
Spot an opportunity for improvement?Share a Content Correction