Learn More
Invitrogen™ AVEN Polyclonal Antibody

Description
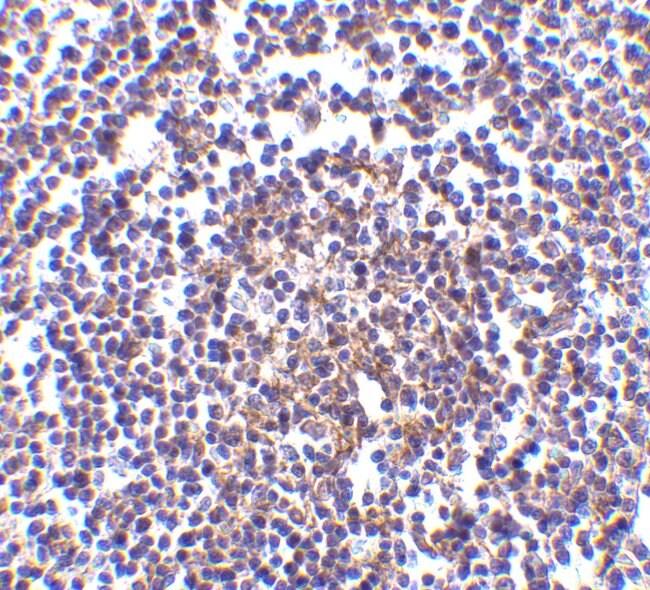
Despite its predicted molecular weight, Aven often migrates at 55kDa in SDS-PAGE. A suggested positive control is Raji cell lysate. PA5-20287 can be used with blocking peptide PEP-0405.
Specifications
Specifications
| Antigen | AVEN |
| Applications | Immunohistochemistry, Western Blot, Immunocytochemistry |
| Classification | Polyclonal |
| Concentration | 1 mg/mL |
| Conjugate | Unconjugated |
| Formulation | PBS with 0.02% sodium azide |
| Gene | AVEN |
| Gene Accession No. | Q9D9K3, Q9NQS1 |
| Gene Alias | 1700013A01Rik; 1700056A21Rik; apoptosis and caspase activation inhibitor; apoptosis, caspase activation inhibitor; AVEN; Cell death regulator Aven; mAven-L; mAven-S; PDCD12; programmed cell death 12 |
| Gene Symbols | AVEN |
| Show More |
Safety and Handling
By clicking Submit, you acknowledge that you may be contacted by Fisher Scientific in regards to the feedback you have provided in this form. We will not share your information for any other purposes. All contact information provided shall also be maintained in accordance with our Privacy Policy.