Promotional price valid on web orders only. Your contract pricing may differ. Interested in signing up for a dedicated account number?
Learn More
Learn More
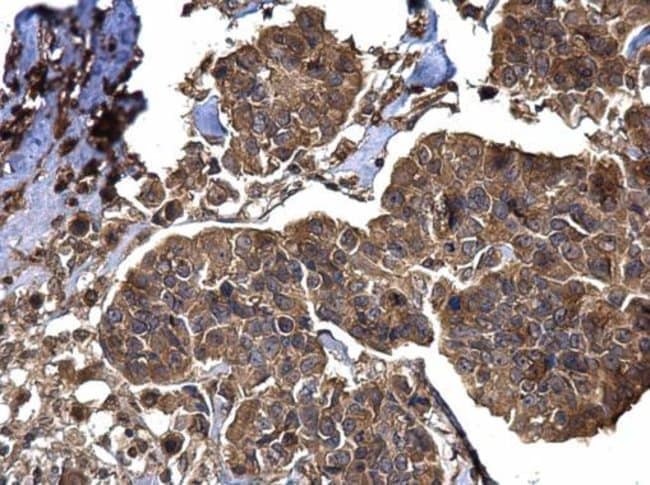
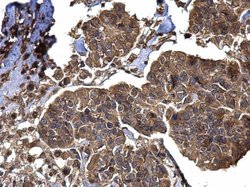
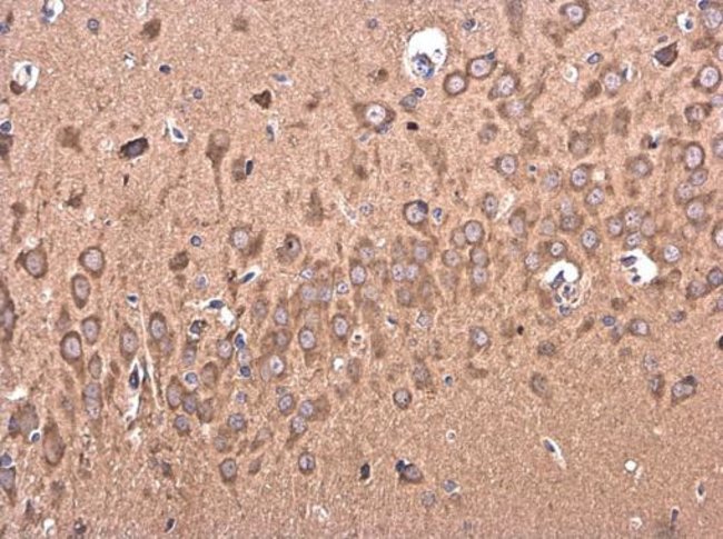
Invitrogen™ BACE2 Polyclonal Antibody

Rabbit Polyclonal Antibody
Supplier: Invitrogen™ PA529882
Description
Recommended positive controls: 293T, A431, Jurkat, Raji. Predicted reactivity: Mouse (88%), Rat (88%), Bovine (90%). Store product as a concentrated solution. Centrifuge briefly prior to opening the vial.
BACE2 or Beta Secretase 2 is responsible for the proteolytic processing of the amyloid precursor protein (APP). BACE2 cleaves APP between residues 690 and 691. This cleavage leads to the generation and extracellular release of beta-cleaved soluble APP. BACE2 is also know to cleave APP between residues 671 and 672. Accumulation of APP is a signature of Alzheimer disease and frequent complication of adult Down syndrome patients.
Specifications
BACE2 | |
Polyclonal | |
Unconjugated | |
BACE2 | |
1110059C24Rik; 56 kDa aspartic-like protease; AEPLC; AI850424; ALP56; ARP1; asp 1; ASP1; ASP21; Aspartic-like protease 56 kDa; Aspartyl protease 1; Bace2; BAE2; be; beta secretase 2; Beta-secretase 2; beta-site amyloid beta A4 precursor protein-cleaving enzyme 2; beta-site amyloid precursor protein cleaving enzyme 2; Beta-site APP cleaving enzyme 2; beta-site APP-cleaving enzyme 2; CDA13; CEAP1; Down region aspartic protease; Down syndrome region aspartic protease; DRAP; memapsin 1; memapsin-1; Membrane-associated aspartic protease 1; theta-secretase; transmembrane aspartic proteinase Asp1; UNQ418/PRO852 | |
Rabbit | |
Antigen affinity chromatography | |
RUO | |
25825, 288227 | |
Store at 4°C short term. For long term storage, store at -20°C, avoiding freeze/thaw cycles. | |
Liquid |
Immunohistochemistry (Paraffin), Western Blot, Immunocytochemistry | |
0.83 mg/mL | |
0.1M tris glycine with 20% glycerol and 0.01% thimerosal; pH 7 | |
Q6IE75, Q9Y5Z0 | |
BACE2 | |
Recombinant protein encompassing a sequence within the C-terminus region of human BACE2. The exact sequence is proprietary. | |
100 μL | |
Primary | |
Human, Rat | |
Antibody | |
IgG |
Safety and Handling
WARNING: Cancer - www.P65Warnings.ca.gov
Product Content Correction
Your input is important to us. Please complete this form to provide feedback related to the content on this product.
Product Title
Spot an opportunity for improvement?Share a Content Correction