Learn More
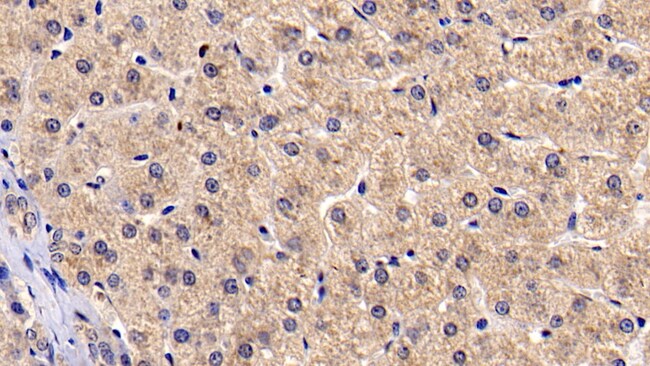
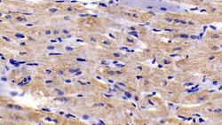
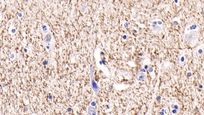
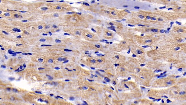
Invitrogen™ BAI3 Monoclonal Antibody (C6)
Mouse Monoclonal Antibody
Supplier: Invitrogen™ MA566153

Description
BAI3 Monoclonal Antibody for Western Blot, ICC/IF, IHC (P)
This p53-target gene encodes a brain-specific angiogenesis inhibitor, a seven-span transmembrane protein, and is thought to be a member of the secretin receptor family. Brain-specific angiogenesis proteins BAI2 and BAI3 are similar to BAI1 in structure, have similar tissue specificities, and may also play a role in angiogenesis.
Specifications
BAI3 | |
Monoclonal | |
1 mg/mL | |
PBS with 50% glycerol and 0.05% ProClin 300; pH 7.4 | |
O60242 | |
Adgrb3 | |
Recombinant Brain Specific Angiogenesis Inhibitor 3 (BAI3) (Cys30-Pro508). | |
200 μL | |
Primary | |
Human, Pig | |
Antibody | |
IgG1 κ |
Immunohistochemistry (Paraffin), Western Blot, Immunocytochemistry | |
C6 | |
Unconjugated | |
Adgrb3 | |
A830096D10Rik; ADGRB3; Adhesion G protein-coupled receptor B3; BAI3; Brain-specific angiogenesis inhibitor 3; dJ91B17.1 (brain-specific angiogenesis inhibitor 3); G protein-coupled receptor BAI3; KIAA0550 | |
Mouse | |
Protein A/G | |
RUO | |
100736796, 577 | |
Store at 4°C short term. For long term storage, store at -20°C, avoiding freeze/thaw cycles. | |
Liquid |
The Fisher Scientific Encompass Program offers items which are not part of our distribution portfolio. These products typically do not have pictures or detailed descriptions. However, we are committed to improving your shopping experience. Please use the form below to provide feedback related to the content on this product.