Promotional price valid on web orders only. Your contract pricing may differ. Interested in signing up for a dedicated account number?
Learn More
Learn More
Invitrogen™ BAIAP2L1 Polyclonal Antibody

Rabbit Polyclonal Antibody
Supplier: Invitrogen™ PA554365
Description
Immunogen sequence: LLSFAQGDVI TLLIPEEKDG WLYGEHDVSK ARGWFPSSYT KLLEENETEA VTVPTPSPTP VRSISTVNLS EN Highest antigen sequence identity to the following orthologs: Mouse - 85%, Rat - 82%.
This gene encodes a member of the IMD (IRSp53/MIM homology domain) family. Members of this family can be subdivided in two groups, the IRSp53-like and MIM-like, based on the presence or absence of the SH3 (Src homology 3) domain. The protein encoded by this gene contains a conserved IMD, also known as F-actin bundling domain, at the N-terminus, and a canonical SH3 domain near the C-terminus, so it belongs to the IRSp53-like group. This protein is the substrate for insulin receptor tyrosine kinase and binds to the small GTPase Rac. It is involved in signal transduction pathways that link deformation of the plasma membrane and remodeling of the actin cytoskeleton. It also promotes actin assembly and membrane protrusions when overexpressed in mammalian cells, and is essential to the formation of a potent actin assembly complex during EHEC (Enterohemorrhagic Escherichia coli) pedestal formation.
Specifications
BAIAP2L1 | |
Polyclonal | |
Unconjugated | |
BAIAP2L1 | |
1300006M19Rik; AI585895; BAI1 associated protein 2 like 1; BAI1-associated protein 2-like 1; BAI1-associated protein 2-like protein 1; Baiap2l1; Brain-specific angiogenesis inhibitor 1-associated protein 2-like protein 1; insulin receptor tyrosine kinase substrate; IRTKS; RGD1308452 | |
Rabbit | |
Antigen affinity chromatography | |
RUO | |
304282, 55971, 66898 | |
Store at 4°C short term. For long term storage, store at -20°C, avoiding freeze/thaw cycles. | |
Liquid |
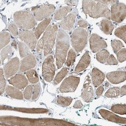
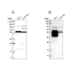
Immunohistochemistry (Paraffin), Western Blot, Immunocytochemistry | |
0.4 mg/mL | |
PBS with 40% glycerol and 0.02% sodium azide; pH 7.2 | |
Q3KR97, Q9DBJ3, Q9UHR4 | |
BAIAP2L1 | |
Recombinant protein corresponding to Human BAIAP2L1. Recombinant protein control fragment (Product #RP-92593). | |
100 μL | |
Primary | |
Human, Mouse, Rat | |
Antibody | |
IgG |
Product Content Correction
Your input is important to us. Please complete this form to provide feedback related to the content on this product.
Product Title
Spot an opportunity for improvement?Share a Content Correction