Promotional price valid on web orders only. Your contract pricing may differ. Interested in signing up for a dedicated account number?
Learn More
Learn More
Invitrogen™ BANF1 Polyclonal Antibody

Rabbit Polyclonal Antibody
Supplier: Invitrogen™ PA5118975
This item is not returnable.
View return policy
Description
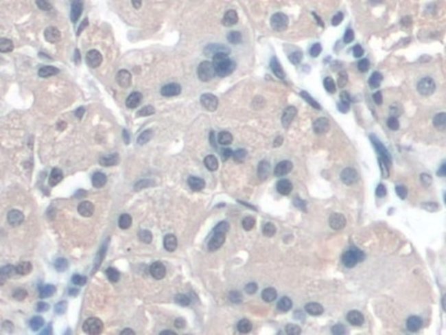
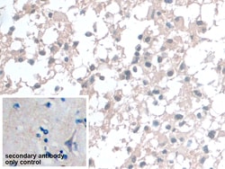
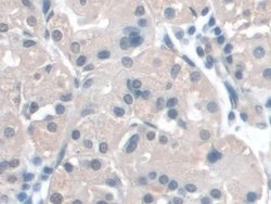
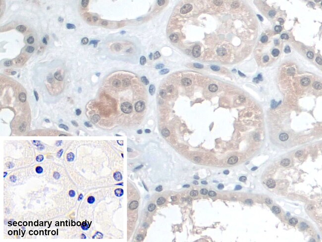
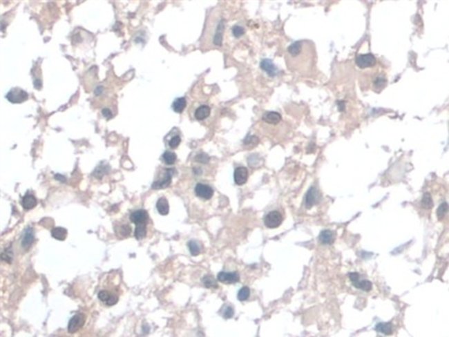
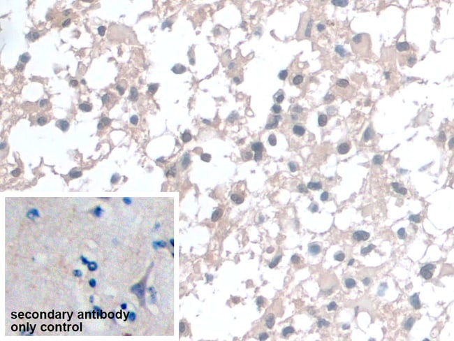
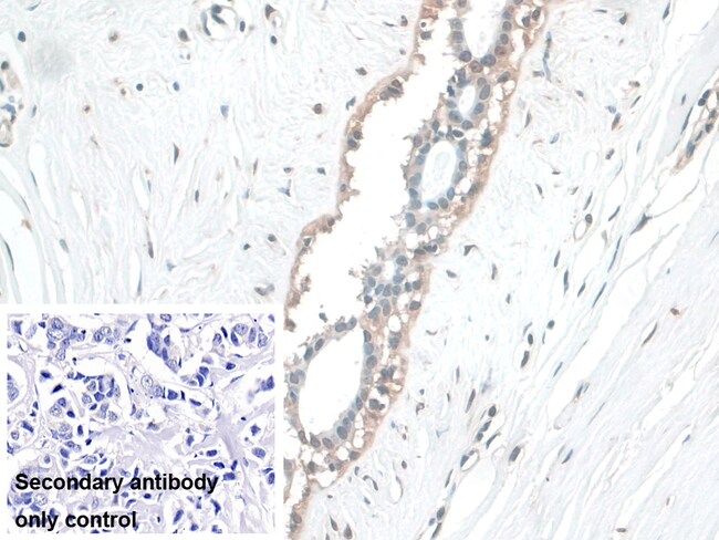
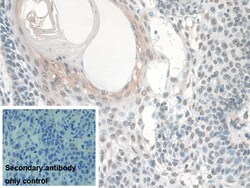
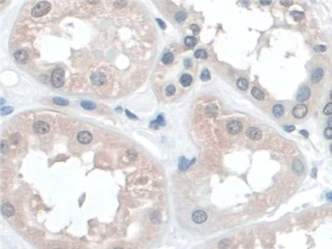
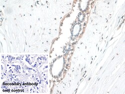
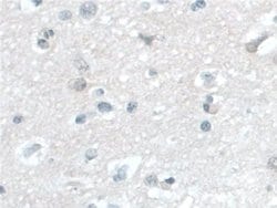
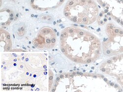
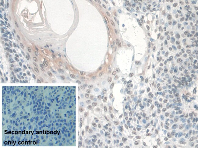
BANF1 Polyclonal Antibody for Western Blot, ICC/IF, IHC (P)
Barrier-to-autointegration factor 1 (BANF1) is a conserved chromatin protein that non-specifically binds double-stranded DNA. BANF1 also interacts with a family of nuclear proteins that include LAP2, emerin, and MAN1. It is also a host cell component of retroviral pre-integration complexes (PICs), including that of HIV. BANF1 will bind to p55 Gag (the structural precursor of HIV-1 virions) as well as its cleaved product matrix. In addition to being a host cell component of the PIC, it is thought that BANF1 is also present at low levels in incoming virions, and thus might contribute to the assembly or activity of HIV-1 PICs through direct binding to matrix as well as DNA.
Specifications
| BANF1 | |
| Polyclonal | |
| Unconjugated | |
| BANF1 | |
| Baf; Banf1; barrier to autointegration factor 1; barrier-to-autointegration factor; Barrier-to-autointegration factor, N-terminally processed; BCRG1; Bcrp1; breakpoint cluster region protein 1; Breakpoint cluster region protein, uterine leiomyoma, 1; Breakpoint cluster region protein, uterine leiomyoma, 1; barrier to autointegration factor; D14S1460; L2bp1; L2bp1/Baf; Lap2 binding protein 1; LAP2-binding protein 1; NGPS | |
| Rabbit | |
| Antigen affinity chromatography, Protein A | |
| RUO | |
| 100622671, 114087, 8815 | |
| Store at 4°C short term. For long term storage, store at -20°C, avoiding freeze/thaw cycles. | |
| Liquid |
| Immunohistochemistry (Paraffin), Western Blot, Immunocytochemistry | |
| 0.5 mg/mL | |
| PBS with 50% glycerol and 0.05% ProClin 300; pH 7.4 | |
| O75531, Q9R1T1 | |
| BANF1 | |
| Recombinant protein Barrier To Autointegration Factor 1. The antigen corresponds to amino acid range 2-89 of the target protein. | |
| 200 μL | |
| Primary | |
| Human, Rat, Pig | |
| Antibody | |
| IgG |
Safety and Handling
WARNING: Cancer - www.P65Warnings.ca.gov
Product Content Correction
Your input is important to us. Please complete this form to provide feedback related to the content on this product.
Product Title
Spot an opportunity for improvement?Share a Content Correction