Learn More
Invitrogen™ BANF1 Recombinant Rabbit Monoclonal Antibody (JG40-43)

Description
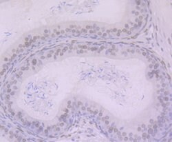
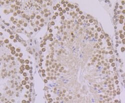
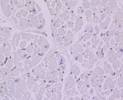
Positive Control: A549, MCF-7, Rat epididymis tissue, human thyroid gland tissue, human colon cancer tissue, human heart tissue, mouse testis tissue.
Specifications
Specifications
| Antigen | BANF1 |
| Applications | Flow Cytometry, Immunohistochemistry (Paraffin), Western Blot, Immunocytochemistry |
| Classification | Recombinant Monoclonal |
| Clone | JG40-43 |
| Concentration | 1 mg/mL |
| Conjugate | Unconjugated |
| Formulation | TBS with 0.05% BSA, 40% glycerol and 0.05% sodium azide; pH 7.4 |
| Gene | BANF1 |
| Gene Accession No. | O75531 |
| Gene Alias | Baf; Banf1; barrier to autointegration factor 1; barrier-to-autointegration factor; Barrier-to-autointegration factor, N-terminally processed; BCRG1; Bcrp1; breakpoint cluster region protein 1; Breakpoint cluster region protein, uterine leiomyoma, 1; Breakpoint cluster region protein, uterine leiomyoma, 1; barrier to autointegration factor; D14S1460; L2bp1; L2bp1/Baf; Lap2 binding protein 1; LAP2-binding protein 1; NGPS |
| Show More |
By clicking Submit, you acknowledge that you may be contacted by Fisher Scientific in regards to the feedback you have provided in this form. We will not share your information for any other purposes. All contact information provided shall also be maintained in accordance with our Privacy Policy.