Learn More
Invitrogen™ BAP1 Polyclonal Antibody

Rabbit Polyclonal Antibody
Supplier: Invitrogen™ PA5121008
Description
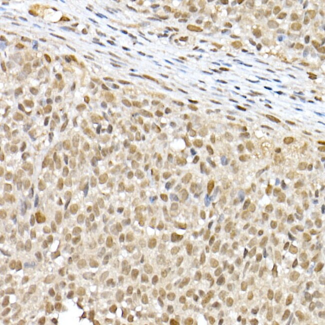
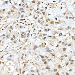
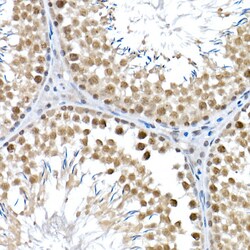
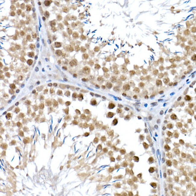
Positive test controls include: Mouse testis, Mouse brain, Rat brain. The target is usually found in the following locations: Cytoplasm, Nucleus. Immunogen sequence: MNKGWLELES DPGLFTLLVE DFGVKGVQVE EIYDLQSKCQ GPVYGFIFLF KWIEERRSRR KVSTLVDDTS VIDDDIVNNM FFAHQLIPNS CATHALLSVL LNCSSVDLGP TLSRMKDFTK GFSPESKGYA IGNAPELAKA HNSHARPEPR HLPEKQNGLS AVRTMEAFHF VSYVPITGRL FELDGLKVYP IDHGPWGEDE EWTDKARRVI MERIGLATAG EPYHDIRFNL MAVVPDRRIK YEARLHVLKV NRQTVLEALQ QLIRVTQPEL.
BRCA1-associated protein-1, or BAP1, interacts with the RING finger domain of BRCA1. The N-terminal 240 amino acids of the predicted 729-amino acid human protein show homology to ubiquitin C-terminal hydrolases (UCHs), thiol proteases that catalyze proteolytic processing of ubiquitin. In addition, BAP1 contains an acidic region, a highly charged C-terminal region, and 2 putative nuclear localization signals. BAP1 and BRCA1 associate in vivo and have overlapping subnuclear localization patterns. BAP1 enhances BRCA1-mediated inhibition of breast cancer cell growth. Northern blot analysis indicates that BAP1 is expressed as a 4-kb mRNA in all human tissues tested, with A 4. 8-kb transcript expressed exclusively in testis. Northern blot analysis and in situ hybridization reveal that BAP1 and BRCA1 are coexpressed during murine breast development and remodeling. The BAP1 gene has been mapped to 3p21. 3, a region of loss of heterozygosity for breast cancer as well as frequently deleted in lung carcinomas. Intragenic homozygous rearrangements and deletions of BAP1 appear in lung carcinoma cell lines. It has been postulated that BAP1 is a tumor suppressor gene that functions in the BRCA1 growth control pathway.
Specifications
| BAP1 | |
| Polyclonal | |
| Unconjugated | |
| BAP1 | |
| 2300006C11Rik; AA989761; AW553466; BAP1; Brca1 associated protein 1; BRCA1 associated protein-1 (ubiquitin carboxy-terminal hydrolase); BRCA1-associated protein 1; Cerebral protein 6; cerebral protein-13; DKFZp686N04275; FLJ35406; FLJ37180; HUCEP-13; hucep-6; KIAA0272; mKIAA0272; Ubiquitin carboxyl-terminal hydrolase BAP1; ubiquitin C-terminal hydrolase X4; UCHL2; uch-x4 | |
| Rabbit | |
| Affinity Chromatography | |
| RUO | |
| 104416, 306257, 8314 | |
| -20°C, Avoid Freeze/Thaw Cycles | |
| Liquid |
| ELISA, Immunohistochemistry (Paraffin), Western Blot, Immunocytochemistry | |
| 0.71 mg/mL | |
| PBS with 50% glycerol and 0.09% sodium azide; pH 7.3 | |
| D3ZHS6, Q92560, Q99PU7 | |
| BAP1 | |
| Recombinant protein (or fragment). | |
| 100 μL | |
| Primary | |
| Human, Mouse, Rat | |
| Antibody | |
| IgG |
Your input is important to us. Please complete this form to provide feedback related to the content on this product.