Learn More
Description
Specifications
Specifications
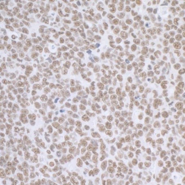
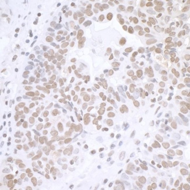
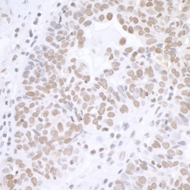
| Antigen | BCAS2 |
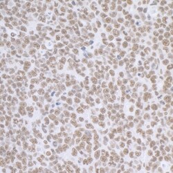
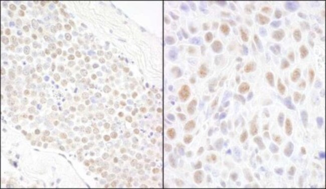
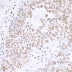
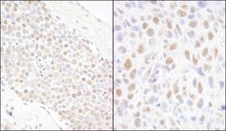
| Applications | Western Blot, Immunoprecipitation, Immunohistochemistry (Paraffin) |
| Classification | Polyclonal |
| Concentration | 1.0 mg/mL |
| Conjugate | Unconjugated |
| Dilution | Western Blot 1:2000-1:10000, Immunohistochemistry 1:1000-1:5000, Immunoprecipitation 2-10 ug/mg lysate, Immunohistochemistry-Paraffin 1:1000-1:5000 |
| Formulation | Tris-Citrate/Phosphate (pH 7.0 - 8.0) with 0.09% Sodium Azide |
| Gene Accession No. | O75934 |
| Gene Alias | breast carcinoma amplified sequence 2, Breast carcinoma-amplified sequence 2, DAM1DNA amplified in mammary carcinoma 1 protein, pre-mRNA-splicing factor SPF27, Snt309, SPF27, spliceosome associated protein, amplified in breast cancer, Spliceosome-associated protein SPF 27 |
| Gene Symbols | BCAS2 |
| Show More |
For Research Use Only
By clicking Submit, you acknowledge that you may be contacted by Fisher Scientific in regards to the feedback you have provided in this form. We will not share your information for any other purposes. All contact information provided shall also be maintained in accordance with our Privacy Policy.
