Promotional price valid on web orders only. Your contract pricing may differ. Interested in signing up for a dedicated account number?
Learn More
Learn More
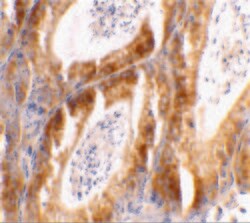
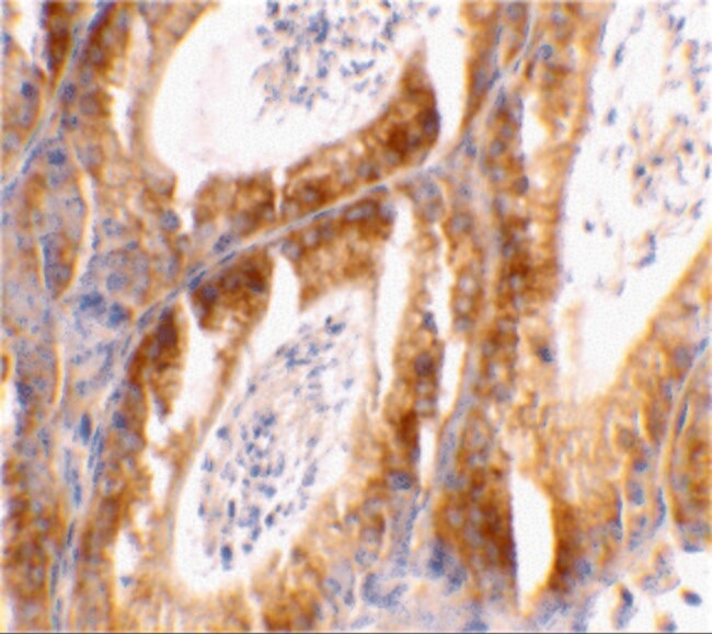
Bcl-G Polyclonal Antibody
Bcl-G Polyclonal Antibody
Supplier: Thermo Scientific PA520029
Description
Bcl-G Polyclonal Antibody for Western Blot, IHC

Specifications
Bcl-G | |
Polyclonal | |
Unconjugated | |
BCL2L14 | |
4930452K23Rik; 4933405K19Rik; 9030625M01Rik; AI429211; Apoptosis facilitator Bcl-2-like protein 14; apoptosis regulator BCL-G; BCL2 like 14; Bcl2l14; bcl2-L-14; BCL2-like 14 (apoptosis facilitator); BCLG; testicular tissue protein Li 26 | |
Rabbit | |
Ion-exchange chromatography | |
RUO | |
500348, 66813, 79370 | |
Maintain refrigerated at 2°C to 8°C for up to 3 months. For long term storage store at -20°C | |
Liquid |
Immunohistochemistry, Western Blot, Immunocytochemistry | |
1 mg/mL | |
PBS with 0.02% sodium azide | |
Q6AYK4, Q9BZR8, Q9CPT0 | |
BCL2L14 | |
A peptide corresponding to 15 amino acids near the N-terminus of human Bcl-G. | |
100 μg | |
Primary | |
Human, Mouse, Rat | |
Antibody | |
IgG |
Safety and Handling
WARNING: Cancer - www.P65Warnings.ca.gov
Product Content Correction
Your input is important to us. Please complete this form to provide feedback related to the content on this product.
Product Title
Spot an opportunity for improvement?Share a Content Correction