Promotional price valid on web orders only. Your contract pricing may differ. Interested in signing up for a dedicated account number?
Learn More
Learn More
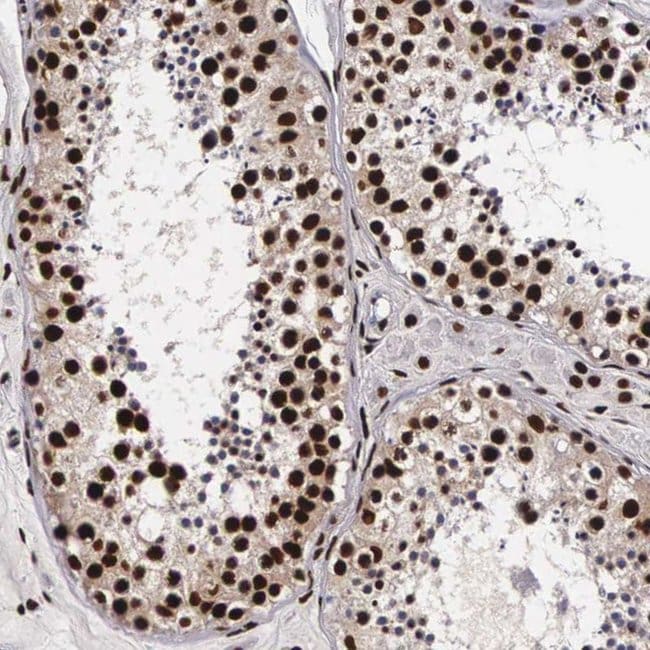
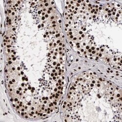
Invitrogen™ PABPN1 Polyclonal Antibody

Rabbit Polyclonal Antibody
Supplier: Invitrogen™ PA551430
Description
Immunogen sequence: MSIEEKMEAD ARSIYVGNVD YGATAEELEA HFHGCGSVNR VTILCDKFSG HPKGFAYIEF SDKESVRTSL ALDESLFRGR QIKVIPKRTN RPGISTTDRG FPRARYRART TNYNSSRSRF YSGFNSRPRG RVYRGRARAT SWY Highest antigen sequence identity to the following orthologs: Mouse - 98%, Rat - 99%.
This gene encodes an abundant nuclear protein that binds with high affinity to nascent poly(A) tails. The protein is required for progressive and efficient polymerization of poly(A) tails at the 3' ends of eukaryotic transcripts and controls the size of the poly(A) tail to about 250 nt. At steady-state, this protein is localized in the nucleus whereas a different poly(A) binding protein is localized in the cytoplasm. This gene contains a GCG trinucleotide repeat at the 5' end of the coding region, and expansion of this repeat from the normal 6 copies to 8-13 copies leads to autosomal dominant oculopharyngeal muscular dystrophy (OPMD) disease. Related pseudogenes have been identified on chromosomes 19 and X. Read-through transcription also exists between this gene and the neighboring upstream BCL2-like 2 (BCL2L2) gene.
Specifications
PABPN1 | |
Polyclonal | |
Unconjugated | |
PABPN1 | |
mPABII; Nuclear poly(A)-binding protein 1; OPMD; PAB2; PABII; PABP2; PABP-2; Pabp3; PABPN1; poly(A) binding protein 2; poly(A) binding protein II; poly(A) binding protein nuclear 1; poly(A) binding protein, nuclear 1; poly(A)-binding protein 2; poly(A)-binding protein II; polyA binding protein II; polyadenylate-binding nuclear protein 1; Polyadenylate-binding protein 2 | |
Rabbit | |
Antigen affinity chromatography | |
RUO | |
54196, 8106 | |
Store at 4°C short term. For long term storage, store at -20°C, avoiding freeze/thaw cycles. | |
Liquid |
Immunohistochemistry (Paraffin), Western Blot | |
0.1 mg/mL | |
PBS with 40% glycerol and 0.02% sodium azide; pH 7.2 | |
Q86U42, Q8CCS6 | |
PABPN1 | |
Recombinant protein corresponding to Human Bcl-W. Recombinant protein control fragment (Product #RP-88906). | |
100 μL | |
Primary | |
Human, Mouse | |
Antibody | |
IgG |
Safety and Handling
WARNING: Cancer - www.P65Warnings.ca.gov
Product Content Correction
Your input is important to us. Please complete this form to provide feedback related to the content on this product.
Product Title
Spot an opportunity for improvement?Share a Content Correction