Learn More
Invitrogen™ BCL-XL Polyclonal Antibody

Rabbit Polyclonal Antibody
Supplier: Invitrogen™ PA5120030
Description
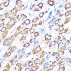
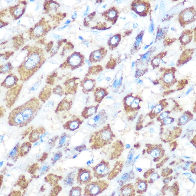
Positive test controls include: OVCAR3, Rat lung, Rat spleen. The target is usually found in the following locations: Cytoplasm, Cytoplasmic side, Cytoplasmic vesicle, Mitochondrion inner membrane, Mitochondrion matrix, Mitochondrion outer membrane, Nucleus membrane, Single-pass membrane protein, centrosome, cytoskeleton, cytosol, microtubule organizing center, secretory vesicle, synaptic vesicle membrane. Immunogen sequence: MSQSNRELVV DFLSYKLSQK GYSWSQFSDV EENRTEAPEG TESEMETPSA INGNPSWHLA DSPAVNGATG HSSSLDAREV.
BCL-XL is a part of the BCL-2 protein family. BCL-2 family members form hetero- or homodimers and act as anti- or pro-apoptotic regulators that are involved in a wide variety of cellular activities. BCL-XL is located at the outer mitochondrial membrane, and have been shown to regulate outer mitochondrial membrane channel (VDAC) opening. VDAC regulates mitochondrial membrane potential and controls the production of reactive oxygen species and release of cytochrome C by mitochondria, both of which are the potent inducers of cell apoptosis. Two alternatively spliced transcript variants, which encode distinct isoforms, have been reported. The longer isoform acts as an apoptotic inhibitor and the shorter form acts as an apoptotic activator.
Specifications
| BCL-XL | |
| Polyclonal | |
| Unconjugated | |
| BCL2L1 | |
| anti-apoptosis regulatory protein; apoptosis regulator Bcl-X; B cell lymphoma 2 like; B cell lymphoma like X; B-cell leukemia/lymphoma x; Bcl(X)L; BCL2 like 1; Bcl2l; BCL2L1; bcl2-L-1; BCL2-like 1; Bcl-2-like protein 1; BCLX; bcl-x; BCLXL; Bcl-XL; BCL-XL/S; BCLXS; bcl-xS; Blc2l; DKFZp781P2092; EGK_02534; OTTHUMP00000030550; OTTHUMP00000030552; OTTHUMP00000030555; OTTHUMP00000030556; OTTHUMP00000030557; PPP1R52; protein phosphatase 1, regulatory subunit 52; RP5-857M17.3 | |
| Rabbit | |
| Affinity Chromatography | |
| RUO | |
| 24888, 598 | |
| -20°C, Avoid Freeze/Thaw Cycles | |
| Liquid |
| ELISA, Immunohistochemistry (Paraffin), Western Blot, Immunocytochemistry | |
| 1.94 mg/mL | |
| PBS with 50% glycerol and 0.09% sodium azide; pH 7.3 | |
| P53563, Q07817 | |
| BCL2L1 | |
| Recombinant fusion protein containing a sequence corresponding to amino acids 1-80 of human Bcl-XL (NP_0013048481). | |
| 100 μL | |
| Primary | |
| Human, Rat | |
| Antibody | |
| IgG |
Your input is important to us. Please complete this form to provide feedback related to the content on this product.