Promotional price valid on web orders only. Your contract pricing may differ. Interested in signing up for a dedicated account number?
Learn More
Learn More
Invitrogen™ BCL11A Recombinant Rabbit Monoclonal Antibody (JB35-68)

Rabbit Recombinant Monoclonal Antibody
Supplier: Invitrogen™ MA534678
Description
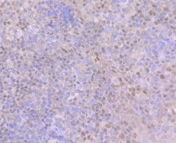
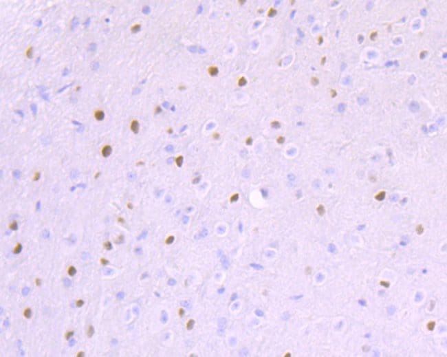
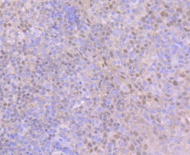
Positive Control: Daudi, U937, human tonsil tissue, mouse cerebellum tissue, Jurkat.
This gene encodes a C2H2 type zinc-finger protein by its similarity to the mouse Bcl11a/Evi9 protein. The corresponding mouse gene is a common site of retroviral integration in myeloid leukemia, and may function as a leukemia disease gene, in part, through its interaction with BCL6. During hematopoietic cell differentiation, this gene is down-regulated. It is possibly involved in lymphoma pathogenesis since translocations associated with B-cell malignancies also deregulates its expression. Multiple transcript variants encoding several different isoforms have been found for this gene.
Specifications
| BCL11A | |
| Recombinant Monoclonal | |
| 1 mg/mL | |
| TBS with 0.05% BSA, 40% glycerol and 0.05% sodium azide; pH 7.4 | |
| Q9H165 | |
| BCL11A | |
| Recombinant protein within Human Ctip1 aa 381-609. | |
| 100 μL | |
| Primary | |
| Human | |
| Antibody | |
| IgG |
| Flow Cytometry, Immunohistochemistry (Paraffin), Western Blot, Immunocytochemistry | |
| JB35-68 | |
| Unconjugated | |
| BCL11A | |
| 2810047E18Rik; B cell CLL/lymphoma 11A; B cell CLL/lymphoma 11A (zinc finger protein); BAF chromatin remodeling complex subunit BCL11A; B-cell CLL/lymphoma 11A; B-cell CLL/lymphoma 11A (zinc finger protein); B-cell CLL/lymphoma 11A (zinc finger protein) isoform 2; B-cell lymphoma/leukemia 11A; BCL11A; BCL-11A; BCL11A B-cell CLL/lymphoma 11A (zinc finger protein) isoform 1; BCL11A, BAF complex component; BCL11A-L; BCL11a-M; BCL11A-S; BCL11A-XL; C2H2-type zinc finger protein; COUP-TF interacting protein 1; COUP-TF-interacting protein 1; CTIP1; D930021L15Rik; ecotropic viral integration site 9 homolog; ecotropic viral integration site 9 protein; Ecotropic viral integration site 9 protein homolog; Evi9; EVI-9; Evi9a; Evi9b; Evi9c; FLJ10173; FLJ34997; HBFQTL5; Kiaa1809; mKIAA1809; myeloid leukemia; zinc finger protein 856; ZNF856 | |
| Rabbit | |
| Protein A | |
| RUO | |
| 53335 | |
| -20°C, Avoid Freeze/Thaw Cycles | |
| Liquid |
Product Content Correction
Your input is important to us. Please complete this form to provide feedback related to the content on this product.
Product Title
Spot an opportunity for improvement?Share a Content Correction