Promotional price valid on web orders only. Your contract pricing may differ. Interested in signing up for a dedicated account number?
Learn More
Learn More
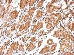
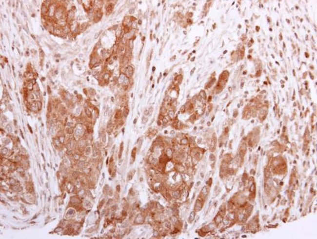
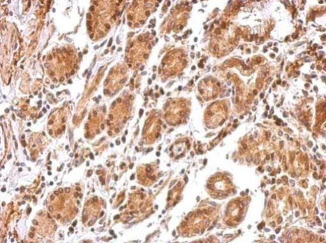
Invitrogen™ BCL2L12 Polyclonal Antibody

Rabbit Polyclonal Antibody
Supplier: Invitrogen™ PA522209
Description
Recommended positive controls: Molt-4. Store product as a concentrated solution. Centrifuge briefly prior to opening the vial.
This gene encodes a member of a family of proteins containing a Bcl-2 homology domain 2 (BH2). The encoded protein is an anti-apoptotic factor that acts as an inhibitor of caspases 3 and 7 in the cytoplasm. In the nucleus, it binds to the p53 tumor suppressor protein, preventing its association with target genes. Overexpression of this gene has been detected in a number of different cancers. There is a pseudogene for this gene on chromosome 3. Alternative splicing results in multiple transcript variants.
Specifications
| BCL2L12 | |
| Polyclonal | |
| Unconjugated | |
| BCL2L12 | |
| 2810475P17Rik; 5430429M05Rik; BCL2 like 12; Bcl-2 related proline-rich protein; Bcl2l12; Bcl2-L12; Bcl2-L-12; BCL2-like 12 (proline rich); bcl-2-like protein 12; Bcl-2-related proline-rich protein; Bcl-L12; BPR | |
| Rabbit | |
| Antigen affinity chromatography | |
| RUO | |
| 83596 | |
| Store at 4°C short term. For long term storage, store at -20°C, avoiding freeze/thaw cycles. | |
| Liquid |
| Immunohistochemistry (Paraffin), Western Blot | |
| 0.37 mg/mL | |
| 0.1M tris glycine with 10% glycerol and 0.01% thimerosal; pH 7 | |
| Q9HB09 | |
| BCL2L12 | |
| Carrier-protein conjugated synthetic peptide encompassing a sequence within the C-terminus region of human BCL2L12. The exact sequence is proprietary. | |
| 100 μL | |
| Primary | |
| Human | |
| Antibody | |
| IgG |
Product Content Correction
Your input is important to us. Please complete this form to provide feedback related to the content on this product.
Product Title
Spot an opportunity for improvement?Share a Content Correction