Promotional price valid on web orders only. Your contract pricing may differ. Interested in signing up for a dedicated account number?
Learn More
Learn More
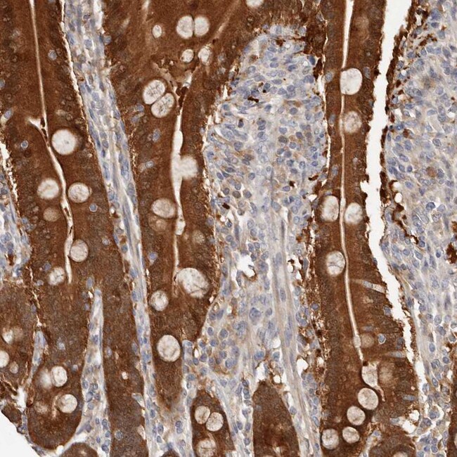
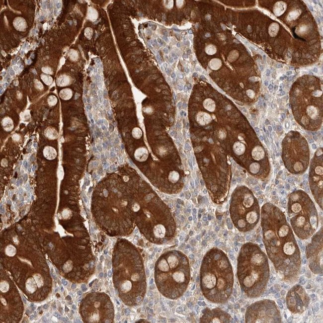
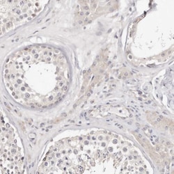
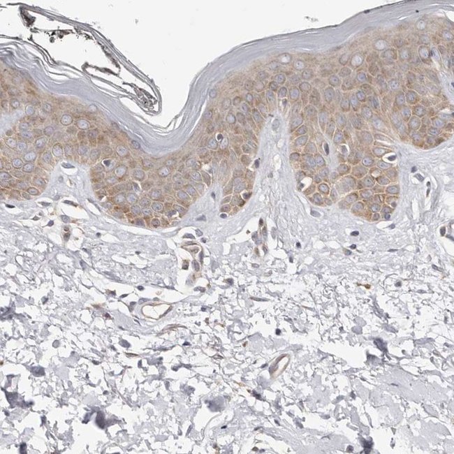
Invitrogen™ BCL2L15 Polyclonal Antibody

Rabbit Polyclonal Antibody
Supplier: Invitrogen™ PA556243
Description
Immunogen sequence: QTGAILQNTV ESLSKTWCAQ DSSLAYERAF LAVSVKLLEY MAHIAPEVVG QVAIPMTGMI NGNQAIREFI QGQGGWE Highest antigen sequence identity to the following orthologs: Mouse - 68%, Rat - 65%.
Proteins of the Bcl-2 family are critical regulators of apoptosis. Proapoptotic members, like Bax, contain three of the four Bcl-2 homology regions (BH1-3), while BH3-only proteins, like Bim, possess only the short BH3 motif. Database searches revealed Bfk, an unusual novel member of the Bcl-2 family that contains a BH2 and BH3 region but not BH1 or BH4. Bfk is thus most closely related to Bcl-G(L). It lacks a C-terminal membrane anchor and is cytosolic. Enforced expression of Bfk weakly promoted apoptosis and antagonized Bcl-2's prosurvival function. Like Bcl-G(L), Bfk did not bind to any Bcl-2 family members, even though its BH3 motif can mediate association with prosurvival proteins. Low amounts of Bfk were found in stomach, ovary, bone marrow and spleen, but its level in the mammary gland rose markedly during pregnancy, suggesting that Bfk may play a role in mammary development.
Specifications
| BCL2L15 | |
| Polyclonal | |
| Unconjugated | |
| BCL2L15 | |
| BCL2 like 15; BCL2L15; bcl2-L-15; BCL2-like 15; bcl-2-like protein 15; BCLl2-like 15; Bfk; C1orf178; Gm566; pro-apoptotic Bcl-2 protein; RGD1562344 | |
| Rabbit | |
| Antigen affinity chromatography | |
| RUO | |
| 440603 | |
| Store at 4°C short term. For long term storage, store at -20°C, avoiding freeze/thaw cycles. | |
| Liquid |
| Immunohistochemistry (Paraffin) | |
| 0.20 mg/mL | |
| PBS with 40% glycerol and 0.02% sodium azide; pH 7.2 | |
| Q5TBC7 | |
| BCL2L15 | |
| Recombinant protein corresponding to Human BCL2L15. Recombinant protein control fragment (Product #RP-94533). | |
| 100 μL | |
| Primary | |
| Human | |
| Antibody | |
| IgG |
Product Content Correction
Your input is important to us. Please complete this form to provide feedback related to the content on this product.
Product Title
Spot an opportunity for improvement?Share a Content Correction