Promotional price valid on web orders only. Your contract pricing may differ. Interested in signing up for a dedicated account number?
Learn More
Learn More
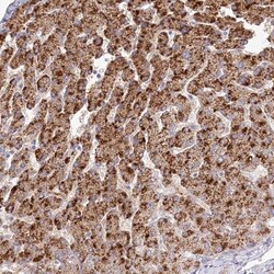
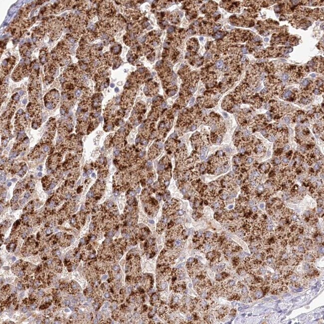
Invitrogen™ BEND7 Polyclonal Antibody

Rabbit Polyclonal Antibody
Supplier: Invitrogen™ PA558131
Description
Immunogen sequence: SILSNYTRSG SLLFRKLVCA FFDDKTLANS LPNGKRKRGL NDNRKGLDQN IVGAIKVFTE KYCTANHVDK LPGPRDWVQI LQDQIK Highest antigen sequence identity to the following orthologs: Mouse - 98%, Rat - 99%.

Specifications
BEND7 | |
Polyclonal | |
Unconjugated | |
BEND7 | |
1110017O21Rik; BEN domain containing 7; BEN domain-containing protein 7; Bend7; C10orf30; E130319B15Rik; RGD1305898 | |
Rabbit | |
Antigen affinity chromatography | |
RUO | |
222389 | |
Store at 4°C short term. For long term storage, store at -20°C, avoiding freeze/thaw cycles. | |
Liquid |
Immunohistochemistry (Paraffin), Immunocytochemistry | |
0.05 mg/mL | |
PBS with 40% glycerol and 0.02% sodium azide; pH 7.2 | |
Q8N7W2 | |
BEND7 | |
Recombinant protein corresponding to Human BEND7. Recombinant protein control fragment (Product #RP-97129). | |
100 μL | |
Primary | |
Human | |
Antibody | |
IgG |
Product Content Correction
Your input is important to us. Please complete this form to provide feedback related to the content on this product.
Product Title
Spot an opportunity for improvement?Share a Content Correction