Promotional price valid on web orders only. Your contract pricing may differ. Interested in signing up for a dedicated account number?
Learn More
Learn More
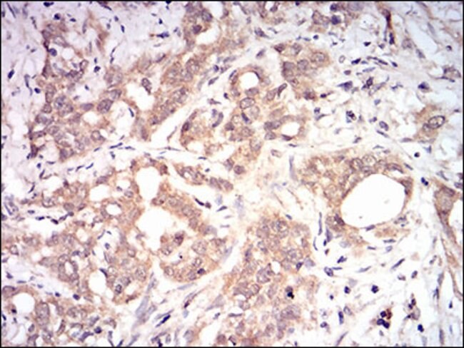
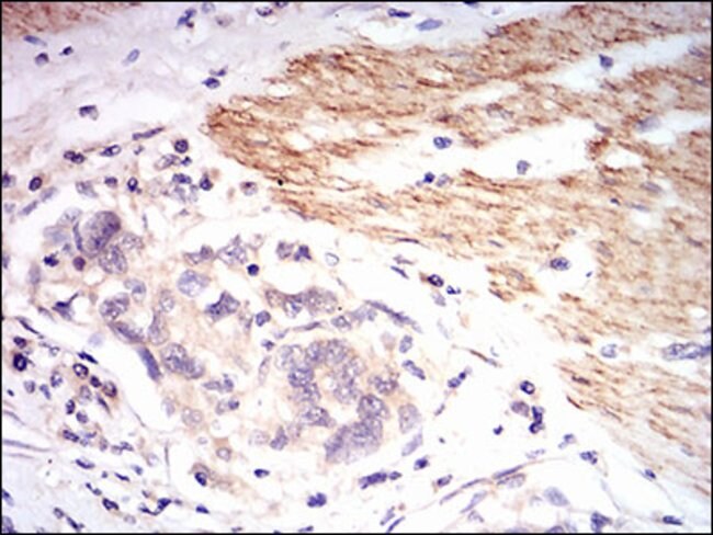
Invitrogen™ beta-2 Microglobulin Monoclonal Antibody (4G5A1)

Mouse Monoclonal Antibody
Supplier: Invitrogen™ MA538453
Description
This antibody has been tested in indirect ELISA.
Beta-2-microglobulin (B2M) is a 12-14 kDa protein that is a subunit of the major histocompatibility complex (MHC) class I. Human beta 2 Microglobulin associated with HLA Class I antigens are expressed on many types of cells including lymphocytes, thymocytes, monocytes, granulocytes, platelets, endothelial cells, and epithelial cells, but is absent on erythrocytes. Beta-2 microglobulin is also found in free form in the plasma. The amino acid sequence of Beta-2-microglobulin is homologous to the constant regions of immunoglobulin heavy and light chains, with a predominantly beta pleated sheet structure. The protein is ubiquitously expressed in the cytoplasm, and is involved in antigen processing and presentation. Beta-2-microglobulin also plays a role in TCR signaling, and downstream signaling in naive CD8+ cells. Beta 2-microglobulin is encoded by the B2M gene located on chromosome 15. A mutation in the Beta-2-microglobulin gene has been shown to result in hypercatabolic hypoproteinemia. Levels of beta 2 microglobulin can be used to assess renal function in kidney transplant recipients. Beta-2-microglobulin that protein can be used as a prognostic marker for HIV infection.
Specifications
| beta-2 Microglobulin | |
| Monoclonal | |
| 1 mg/mL | |
| PBS with 0.05% sodium azide | |
| P61769 | |
| B2m | |
| Purified recombinant fragment of human B2M (aa: 21-100) expressed in E. Coli. | |
| 100 μg | |
| Primary | |
| Human | |
| Antibody | |
| IgG1 |
| ELISA, Flow Cytometry, Immunohistochemistry (Paraffin), Western Blot, Immunocytochemistry | |
| 4G5A1 | |
| Unconjugated | |
| B2m | |
| B2m; B2-microglobulin; b2m-W01; b2m-W03; b2m-Z01; b2m-Z02; b2m-Z03; Beta 2 microglobin; Beta 2 microglobulin; beta 2-microglobulin; beta chain of MHC class I molecules; Beta2 microglobulin; beta-2 microglobulin; beta-2 microglobulin preprotein; beta2m; beta2-m; beta-2-microglobin; beta-2-microglobulin; beta-2-microglobulin C-terminal fragment (55 AA); Beta-2-microglobulin form pI 5.3; B-F; CDABP0092; HDCMA22P; IMD43; Lactollin; Ly-m11; MHC Class I; microglobulin beta-2; Orla-B2m | |
| Mouse | |
| Protein G | |
| RUO | |
| 567 | |
| Store at 4°C short term. For long term storage, store at -20°C, avoiding freeze/thaw cycles. | |
| Liquid |
Product Content Correction
Your input is important to us. Please complete this form to provide feedback related to the content on this product.
Product Title
Spot an opportunity for improvement?Share a Content Correction