Promotional price valid on web orders only. Your contract pricing may differ. Interested in signing up for a dedicated account number?
Learn More
Learn More
Invitrogen™ beta COP Polyclonal Antibody

Rabbit Polyclonal Antibody
Supplier: Invitrogen™ PA529443
Description
Recommended positive controls: HeLa, HepG2. Predicted reactivity: Mouse (99%), Rat (99%), Zebrafish (97%), Xenopus laevis (96%), Pig (100%), Chicken (98%), Bovine (100%). Store product as a concentrated solution. Centrifuge briefly prior to opening the vial.
This gene encodes a protein subunit of the coatomer complex associated with non-clathrin coated vesicles. The coatomer complex, also known as the coat protein complex 1, forms in the cytoplasm and is recruited to the Golgi by activated guanosine triphosphatases. Once at the Golgi membrane, the coatomer complex may assist in the movement of protein and lipid components back to the endoplasmic reticulum. Alternatively spliced transcript variants have been described.
Specifications
beta COP | |
Polyclonal | |
Unconjugated | |
Copb1 | |
2610019B04Rik; beta coat protein; beta-coat protein; Beta-COP; coatomer protein complex subunit beta 1; coatomer protein complex, subunit beta 1; Coatomer subunit beta; COPB; COPB1; DKFZp761K102; FLJ10341; FLJ46444; FLJ57957; I79_013776; MSTP026; Rack2; receptor for activated C-kinase-2 | |
Rabbit | |
Antigen affinity chromatography | |
RUO | |
1315 | |
Store at 4°C short term. For long term storage, store at -20°C, avoiding freeze/thaw cycles. | |
Liquid |
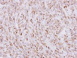
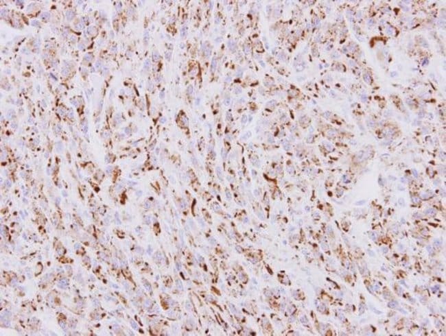
Immunohistochemistry (Paraffin), Western Blot, Immunocytochemistry | |
1 mg/mL | |
0.1M tris glycine with 10% glycerol and 0.01% thimerosal; pH 7 | |
P53618 | |
Copb1 | |
Recombinant protein encompassing a sequence within the center region of human COPB. The exact sequence is proprietary. | |
100 μL | |
Primary | |
Human | |
Antibody | |
IgG |
Safety and Handling
WARNING: Cancer - www.P65Warnings.ca.gov
Product Content Correction
Your input is important to us. Please complete this form to provide feedback related to the content on this product.
Product Title
Spot an opportunity for improvement?Share a Content Correction