Promotional price valid on web orders only. Your contract pricing may differ. Interested in signing up for a dedicated account number?
Learn More
Learn More
beta Galactosidase Polyclonal Antibody

beta Galactosidase Polyclonal Antibody
Supplier: Thermo Scientific PA5141098
This item is not returnable.
View return policy
Description
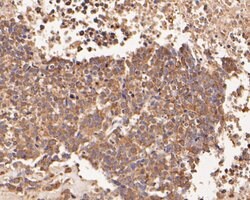
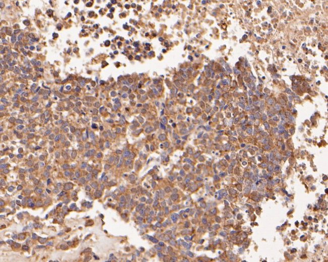
beta Galactosidase Polyclonal Antibody for Western Blot, ICC/IF, IHC (P), Flow
Specifications
| beta Galactosidase | |
| Polyclonal | |
| Unconjugated | |
| GLB1 | |
| acid beta-galactosidase; AW125515; betagal; Beta-Gal; Beta-galactosidase; bgal; Bge; Bgl; Bgl-e; Bgl-s; Bgl-t; Bgs; Bgt; C130097A14Rik; EBP; Elastin receptor 1; elastin receptor 1, 67kDa; ELNR1; galactosidase beta 1; galactosidase, beta 1; GLB1; Glb-1; lactase; lysosmal hydrolase; lysosomal beta-galactosidase; lysosomal hydrolase; MPS4B; ßgal; ß-gal; ß-galactosidase | |
| Rabbit | |
| Antigen Affinity Chromatography | |
| RUO | |
| 2720 | |
| Store at 4°C short term. For long term storage, store at -20°C, avoiding freeze/thaw cycles. | |
| Liquid |
| Flow Cytometry, Immunohistochemistry (Paraffin), Western Blot, Immunocytochemistry | |
| 1 mg/mL | |
| TBS with 0.2% BSA, 50% glycerol and 0.05% sodium azide; pH 7.4 | |
| P16278 | |
| GLB1 | |
| Synthetic peptide within human Beta-galactosidase aa 610-677. | |
| 100 μL | |
| Primary | |
| Human | |
| Antibody | |
| IgG |
Product Content Correction
Your input is important to us. Please complete this form to provide feedback related to the content on this product.
Product Title
Spot an opportunity for improvement?Share a Content Correction