Learn More
beta-tubulin Mouse anti-Bovine, Chicken, Fish, Goat, Human, Monkey, Mouse, Porcine, Rabbit, Rat, Clone: 2G7D4, GenScript™
Mouse Monoclonal Antibody
Supplier: Genscript Corporation A0171740

Description
Reconstitute the lyophilized powder with deionized water (or equivalent) to an antibody concentration of 0.5 mg/mL. Tubulin is the major constituent of microtubules. It binds two moles of GTP, one at an exchangeable site on the beta chain and one at a non-exchangeable site on the alpha-chain. It is a dimer of alpha (α) and beta (β) chains. β-tubulin is ubiquitously expressed with highest levels in spleen, thymus and immature brain and it has a highly acidic C-terminal region which may bind cations such as calcium. This antibody can be used as a loading control on Western blots.GenScript β-tubulin Antibody (2G7D4), mAb, Mouse is produced from the hybridoma resulting from fusion of SP2/0-Ag14 myeloma and B-lymphocytes obtained from mouse immunized with purified human recombinant full-length β-tubulin protein.
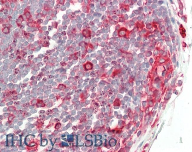
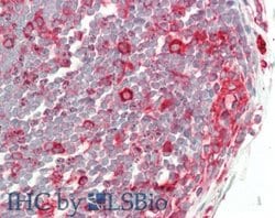
beta-tubulin Monoclonal antibody specifically detects beta-tubulin in Bovine, Chicken, Fish, Goat, Human, Monkey, Mouse, Porcine, Rabbit, Rat samples. It is validated for Flow Cytometry, Immunohistochemistry (Paraffin), Western BlotSpecifications
beta-tubulin | |
Monoclonal | |
Unconjugated | |
Tubb3 | |
2310057H16Rik; 2810484G07Rik; 3200002H15Rik; AA408537; AI325297; AI596182; B130022C14Rik; bA631M21.2; BB220206; beta 5-tubulin; beta Ib tubulin; beta tubulin; beta tubulin 1; beta-4; beta-4 tubulin; beta-4-tubulin; beta-5; beta-5 tubulin; beta5-tubulin; betaIII-tubulin; beta-tubulin; beta-tubulin class-III; Beta-tubulin class-V; beta-tubulin class-VI; Beta-tubulin isotype I; c(beta)7 tubulin; CDCBM; CDCBM1; CDCBM5; CDCBM6; CFEOM3; CFEOM3A; class I beta tubulin; Class I beta-tubulin; class IIa beta-tubulin; class III beta-tubulin; class IVa beta-tubulin; class V beta tubulin; class V beta-tubulin; CSCSC1; dJ40E16.7; dystonia 4, torsion (autosomal dominant); DYT4; FEOM3; HSA10p15 beta-tubulin 4Q; HsT1601; hypothetical protein LOC540236; hypothetical protein LOC550458; I79_000194; I79_012097; LOC100349792; LOC100761889; LOW QUALITY PROTEIN: tubulin beta-6 chain; M(beta)1; M(beta)2; M(beta)3; M(beta)4; M(beta)5; M(beta)6; M40; M40 antibody; MGC128415 protein; MGC137802 protein; neuron-specific class III beta-tubulin; OK/SW-cl.56; OOMD; OOMD2; RGD1305887; si:ch211-122i22.4; si:ch211-9a18.2; Tubb; tubb beta-5; tubb.L; Tubb1; TUBB2; Tubb2a; tubb2a {ECO:0000250; Tubb3; TUBB4; TUBB4A; tubb5; TUBB-5; TUBB6; TUBB8; Tubulin 5 beta; tubulin beta; tubulin beta 1 class VI; tubulin beta 2A class IIa; tubulin beta 3 class III; tubulin beta 4'; tubulin beta 4A class IVa; tubulin beta 6 class V; tubulin beta 8 class VIII; Tubulin beta chain; tubulin beta class I; tubulin beta class I L homeolog; Tubulin beta class IIa; Tubulin beta class V; tubulin beta MGC4083; tubulin beta-1; tubulin beta-1 chain; tubulin beta-1 chain-like; tubulin beta-2A chain; tubulin beta-2B chain; tubulin beta-3 chain; Tubulin beta-4 chain; tubulin beta-4A chain; Tubulin beta-5 chain; tubulin beta-5 chain; tubulin beta-6 chain; tubulin beta-6 chain; Tubulin beta-7 chain; tubulin beta-8 chain; Tubulin beta-III; tubulin, beta 1 class VI; tubulin, beta 2; tubulin, beta 2A; tubulin, beta 2A class IIA; tubulin, beta 3; tubulin, beta 3 class III; tubulin, beta 4; tubulin, beta 4 class IVa; tubulin, beta 4A class IVa; tubulin, beta 5; tubulin, beta 5 class I; tubulin, beta 6 class V; tubulin, beta class I; tubulin, beta family 1; tubulin, beta polypeptide; tubulin, beta polypeptide 2; tubulin, beta, 3; tubulin, beta, 4; tubulin, beta, 5; uncharacterized protein LOC550458; UniProtKB:Q7TMM9}; Unknown (protein for MGC:134115); unnamed protein product; XELAEV_18039222mg; XLOT; zbetaI; zgc:112515 | |
purified human recombinant full-length beta-tubulin protein | |
40 μg | |
Primary | |
Bovine, Chicken, Fish, Goat, Human, Monkey, Mouse, Pig, Rabbit, Rat | |
Antibody | |
IgG1 κ |
Flow Cytometry, Immunohistochemistry (Paraffin), Western Blot | |
2G7D4 | |
PBS with 0.02% sodium azide; pH 7.4 | |
A2AQ07, P04350, P07437, P09207, P09244, P09652, P09653, P69897, P85108, P99024, Q13509, Q13885, Q2HJ81, Q2KJD0, Q2T9S0, Q3ZBU7, Q3ZCM7, Q4QRB4, Q767L7, Q7TMM9, Q922F4, Q9BUF5, Q9D6F9, Q9ERD7, Q9H4B7 | |
Mouse | |
Protein A | |
RUO | |
100134983, 100152382, 100295973, 100347858, 100348290, 100349792, 100350252, 100358689, 100623583, 100736584, 102168953, 102178062, 102178409, 102188330, 10381, 10382, 106509340, 108633269, 203068, 22151, 22152, 22153, 22154, 246118, 29213, 29214, 307351, 347688, 396254, 396427, 421037, 431043, 498736, 534206, 540236, 541271, 545486, 615087, 679312, 67951, 7280, 733686, 768070, 768337, 81027, 84617 | |
-20°C or -80°C if preferred | |
Lyophilized |
The Fisher Scientific Encompass Program offers items which are not part of our distribution portfolio. These products typically do not have pictures or detailed descriptions. However, we are committed to improving your shopping experience. Please use the form below to provide feedback related to the content on this product.