Promotional price valid on web orders only. Your contract pricing may differ. Interested in signing up for a dedicated account number?
Learn More
Learn More
Invitrogen™ BID Polyclonal Antibody

Rabbit Polyclonal Antibody
Supplier: Invitrogen™ PA5118980
This item is not returnable.
View return policy
Description
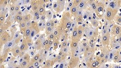
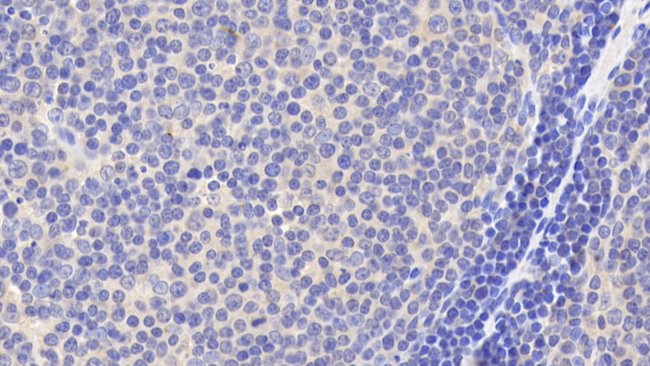
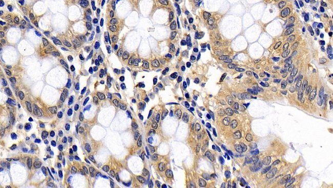
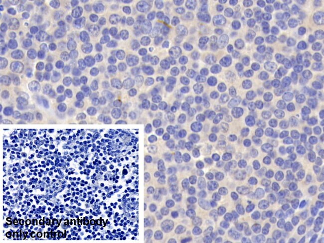
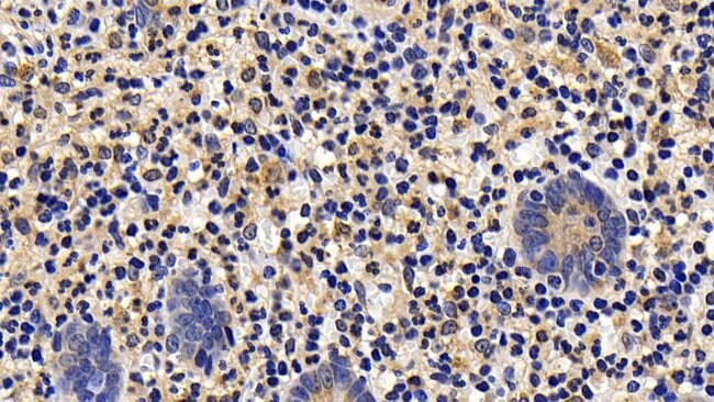
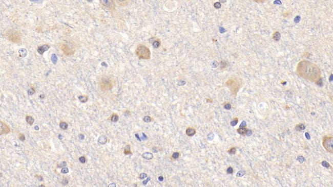
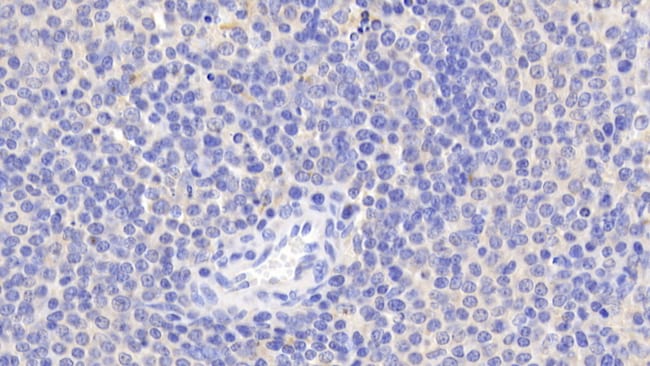
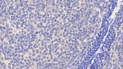
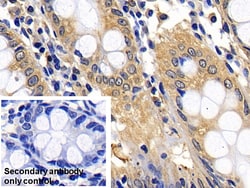
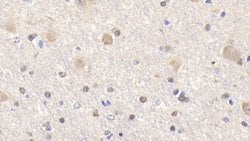
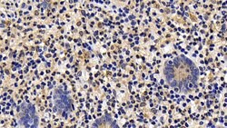
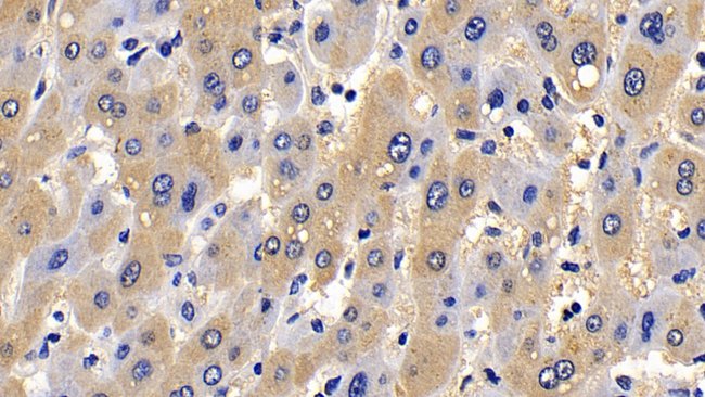
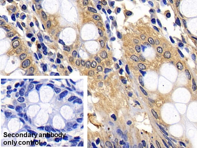
BID Polyclonal Antibody for Western Blot, IHC (P)
BID is a death agonist that heterodimerizes with either agonist BAX or antagonist BCL2. Bid is a member of the BCL-2 family of cell death regulators. BID is a mediator of mitochondrial damage induced by caspase-8 (CASP8); CASP8 cleaves this encoded protein, and the COOH-terminal part translocates to mitochondria where it triggers cytochrome c release. BID is also a pro-apoptotic member of the Bcl 2 family. BID usually exists in an inactive form in the cytosolic fraction of living cells and becomes cleaved and activated by caspase 8 in response to TNF alpha or Fas ligand. Once BID is cleaved, the C-terminal 15 kDa fragment of BID (p15) translocates onto mitochondria and is sufficient to trigger cytochrome c release, resulting in cell apoptosis. BID serves as a direct molecular link between caspase 8 activation and mitochondrial death machinery.
Specifications
BID | |
Polyclonal | |
Unconjugated | |
BID | |
2700049M22Rik; AI875481; apoptic d; apoptic death agonist; apoptotic death agonist BID; AU022477; BH3 interacting domain death agonist; BH3-interacting domain death agonist; BH3-interacting domain death agonist p11; BH3-interacting domain death agonist p13; BH3-interacting domain death agonist p15; Bid; BID isoform ES(1b); BID isoform L(2); BID isoform Si6; desmocollin type 4; FP497; HGNC:1050; Human BID coding sequence; MGC15319; MGC42355; OTTHUMP00000196197; p11 BID; p13 BID; p15 BID; p22 BID | |
Rabbit | |
Antigen affinity chromatography, Protein A | |
RUO | |
12122, 594852, 637, 64625 | |
Store at 4°C short term. For long term storage, store at -20°C, avoiding freeze/thaw cycles. | |
Liquid |
Immunohistochemistry (Paraffin), Western Blot | |
0.5 mg/mL | |
PBS with 50% glycerol and 0.05% ProClin 300; pH 7.4 | |
P55957, P70444, Q4JHS0, Q9JLT6 | |
BID | |
Recombinant protein BH3 Interacting Domain Death Agonist. The antigen corresponds to amino acid range 1-195 of the target protein. | |
200 μL | |
Primary | |
Human, Mouse, Rat, Pig | |
Antibody | |
IgG |
Safety and Handling
WARNING: Cancer - www.P65Warnings.ca.gov
Product Content Correction
Your input is important to us. Please complete this form to provide feedback related to the content on this product.
Product Title
Spot an opportunity for improvement?Share a Content Correction