Promotional price valid on web orders only. Your contract pricing may differ. Interested in signing up for a dedicated account number?
Learn More
Learn More
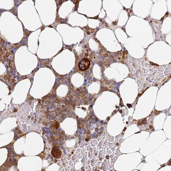
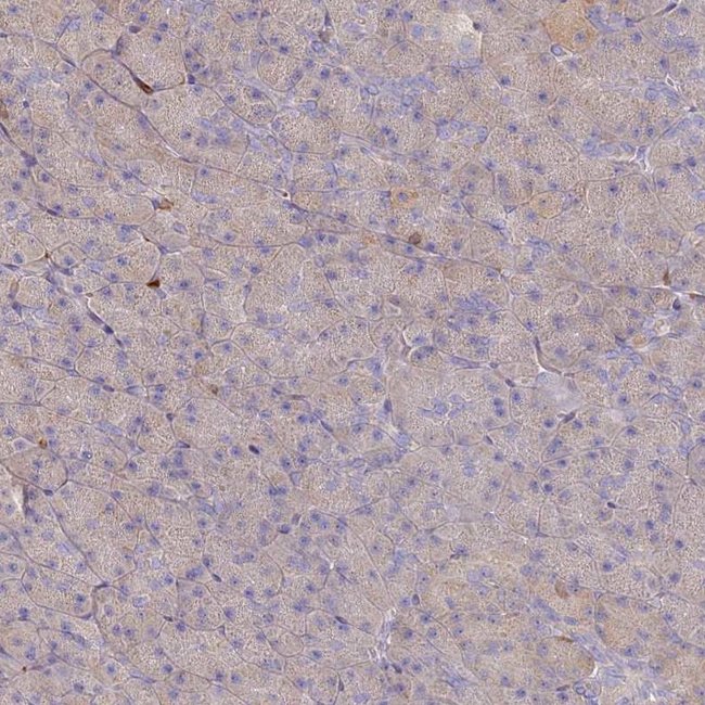
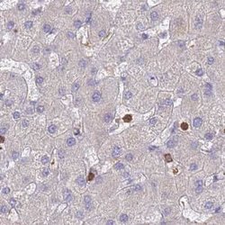
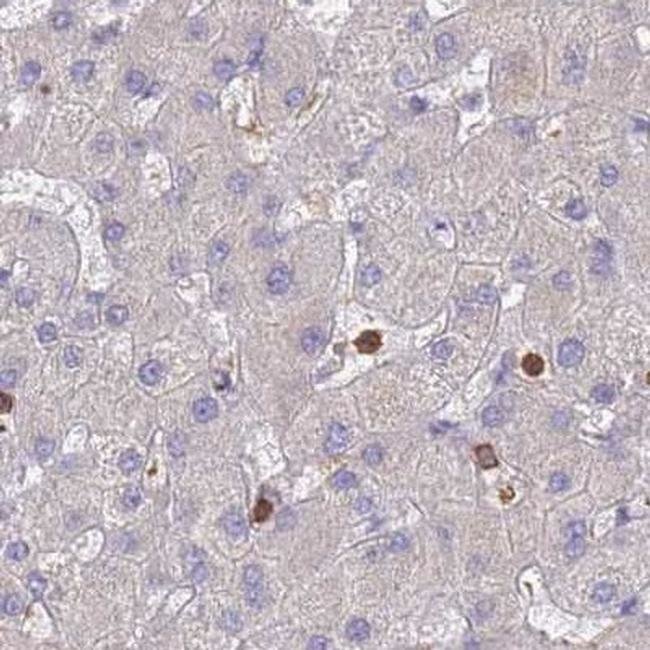
Invitrogen™ BIN2 Polyclonal Antibody

Rabbit Polyclonal Antibody
Supplier: Invitrogen™ PA558486
Description
Immunogen sequence: EKPVRTPEAK ENENIHNQNP EELCTSPTLM TSQVASEPGE AKKMEDKEKD NKLISADSSE GQDQLQVSMV PENNNLTAPE PQEEVSTSEN PQL Highest antigen sequence identity to the following orthologs: Mouse - 29%, Rat - 31%.
BAR proteins, which are characterized by a common N-terminal BAR domain, are a family of adaptor proteins implicated in a diverse set of cellular processes. BIN1 (bridging integrator 1) and BIN2 are BAR proteins. The human BIN2 gene is located at chromosome 4q22.1, and encodes a 565-amino acid protein with a predicted molecular weight of ~62 kDa. It shows preferential expression in hematopoietic tissues, with highest mRNA levels in spleen and peripheral blood leukocytes and also high levels in thymus, colon, and placenta. BIN2 has been shown to migrate with an apparent mobility of ~80 kDa, and interact with BIN1.
Specifications
BIN2 | |
Polyclonal | |
Unconjugated | |
BIN2 | |
BIN2; BRAP1; BRAP-1; breast cancer associated protein BRAP1; breast cancer-associated protein 1; Bridging integrator 2; bridging integrator-2 | |
Rabbit | |
Antigen affinity chromatography | |
RUO | |
51411 | |
Store at 4°C short term. For long term storage, store at -20°C, avoiding freeze/thaw cycles. | |
Liquid |
Immunohistochemistry (Paraffin), Western Blot | |
0.1 mg/mL | |
PBS with 40% glycerol and 0.02% sodium azide; pH 7.2 | |
Q9UBW5 | |
BIN2 | |
Recombinant protein corresponding to Human BIN2. Recombinant protein control fragment (Product #RP-97670). | |
100 μL | |
Primary | |
Human | |
Antibody | |
IgG |
Product Content Correction
Your input is important to us. Please complete this form to provide feedback related to the content on this product.
Product Title
Spot an opportunity for improvement?Share a Content Correction