Promotional price valid on web orders only. Your contract pricing may differ. Interested in signing up for a dedicated account number?
Learn More
Learn More
Invitrogen™ Bit1 Polyclonal Antibody

Rabbit Polyclonal Antibody
Supplier: Invitrogen™ PA5118225
This item is not returnable.
View return policy
Description
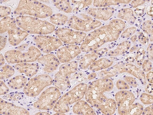
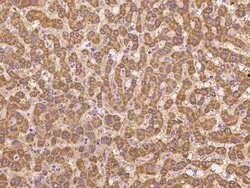
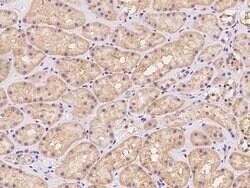
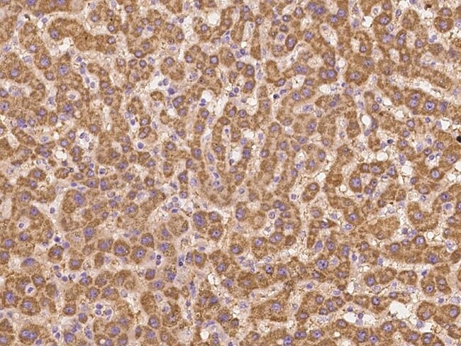
Bit1 Polyclonal Antibody for Western Blot, ICC/IF, IHC (P), IP
The protein encoded by this gene is a mitochondrial protein with two putative domains, an N-terminal mitochondrial localization sequence, and a UPF0099 domain. In vitro assays suggest that this protein possesses peptidyl-tRNA hydrolase activity, to release the peptidyl moiety from tRNA, thereby preventing the accumulation of dissociated peptidyl-tRNA that could reduce the efficiency of translation. This protein also plays a role regulating cell survival and death. It promotes survival as part of an integrin-signaling pathway for cells attached to the extracellular matrix characterized by intellectual disability, postnatal microcephaly, progressive cerebellar atrophy, hearing impairment, polyneuropathy, failure to thrive, and organ fibrosis with exocrine pancreas insufficiency. Alternative splicing results in multiple transcript variants encoding different isoforms.
Specifications
| Bit1 | |
| Polyclonal | |
| PBS with 0.03% ProClin 300; pH 7 | |
| Q9Y3E5 | |
| Ptrh2 | |
| E. coli-derived Human PTRH2 fragment. | |
| 100 μL | |
| Primary | |
| Human | |
| Antibody | |
| IgG |
| Immunohistochemistry (Paraffin), Immunoprecipitation, Western Blot, Immunocytochemistry | |
| Unconjugated | |
| Ptrh2 | |
| A230072I16Rik; Bcl-2 inhibitor of transcription; bcl-2 inhibitor of transcription 1; BIT1; CFAP37; CGI-147; cilia and flagella associated protein 37; IMNEPD; OTTHUMP00000205936; peptidyl-tRNA hydrolase 2; peptidyl-tRNA hydrolase 2, mitochondrial; PTH; PTH 2; Pth2; Ptrh2; RGD1306819 | |
| Rabbit | |
| Antigen Affinity Chromatography, Protein A | |
| RUO | |
| 51651 | |
| -20°C, Avoid Freeze/Thaw Cycles | |
| Liquid |
Safety and Handling
WARNING: Cancer - www.P65Warnings.ca.gov
Product Content Correction
Your input is important to us. Please complete this form to provide feedback related to the content on this product.
Product Title
Spot an opportunity for improvement?Share a Content Correction