Promotional price valid on web orders only. Your contract pricing may differ. Interested in signing up for a dedicated account number?
Learn More
Learn More
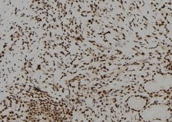
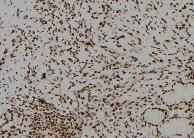
Invitrogen™ BNC1 Polyclonal Antibody

Rabbit Polyclonal Antibody
Supplier: Invitrogen™ PA5103313
Description
Antibody detects endogenous levels of total Basonuclin.
Bnc 1 is a 994 amino acid transcription factor specific for squamous epithelium and for the constituent keratinocytes at a stage either prior to or at the very beginning of terminal differentiation. It is a zinc finger protein with three separated pairs of zinc fingers and a nuclear localization signal. Bnc 1 is a soluble protein that can shuttle between the nucleus and the cytoplasm, and its location depends on the proliferative potential of the cell. It is expressed relatively uniformly in the nucleoplasm, and phosphorylation on Ser-537 and Ser-541 leads to its cytoplasmic localization. It is present in the basal cell layer of the epidermis, in hair follicles and also in abundance in the germ cells of testis and ovary, and to a lower extent in thymus, spleen, mammary glands, placenta, brain and heart. Reports suggest that it plays a regulatory role in keratinocyte proliferation and also in rRNA transcription. It is also known to play a role in the differentiation of spermatozoa and oocytes.
Specifications
BNC1 | |
Polyclonal | |
Unconjugated | |
BNC1 | |
AI047752; AW546376; basonuclin 1; BNC; bnc 1; Bnc1; BSN1; HsT19447; zinc finger protein basonuclin-1 | |
Rabbit | |
Affinity Chromatography | |
RUO | |
646 | |
-20°C | |
Liquid |
Immunohistochemistry (Paraffin), Western Blot | |
1 mg/mL | |
PBS with 50% glycerol and 0.02% sodium azide; pH 7.4 | |
Q01954 | |
BNC1 | |
A synthesized peptide derived from human BNC1(Accession Q01954), corresponding to amino acid residues S510-N560. | |
100 μL | |
Primary | |
Human | |
Antibody | |
IgG |
Safety and Handling
WARNING: Cancer - www.P65Warnings.ca.gov
Product Content Correction
Your input is important to us. Please complete this form to provide feedback related to the content on this product.
Product Title
Spot an opportunity for improvement?Share a Content Correction