Promotional price valid on web orders only. Your contract pricing may differ. Interested in signing up for a dedicated account number?
Learn More
Learn More
Invitrogen™ Brachyury Polyclonal Antibody

Rabbit Polyclonal Antibody
Supplier: Invitrogen™ PA5114917
Description
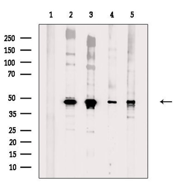
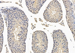
Antibody detects endogenous levels of total Brachyury / Bry.
The protein encoded by this gene is an embryonic nuclear transcription factor that binds to a specific DNA element, the palindromic T-site. It binds through a region in its N-terminus, called the T-box, and effects transcription of genes required for mesoderm formation and differentiation. The protein is localized to notochord-derived cells.
Specifications
| Brachyury | |
| Polyclonal | |
| Unconjugated | |
| TBXT | |
| Bra; brachyury; brachyury homolog; brachyury protein; brachyury-like 2; brachyury-like 3; cou; D17Mit170; Low; low ratio; Lr; me75; Protein T; RP11-459F1.1; SAVA; T; T brachyury homolog; T brachyury transcription factor; T, brachyury homolog; T1; T-box transcription factor T; TBXT; TFT; Tl2; Tl3 | |
| Rabbit | |
| Affinity chromatography | |
| RUO | |
| 20997, 20998, 292301, 6862 | |
| -20°C | |
| Liquid |
| Immunohistochemistry (Paraffin), Western Blot, Immunocytochemistry | |
| 1 mg/mL | |
| PBS with 50% glycerol and 0.02% sodium azide | |
| O15178, P20293 | |
| T, TBXT | |
| A synthesized peptide derived from human T(Accession O15178), corresponding to amino acid residues S321-L371. | |
| 100 μL | |
| Primary | |
| Human, Mouse, Rat | |
| Antibody | |
| IgG |
Safety and Handling
WARNING: Cancer - www.P65Warnings.ca.gov
Product Content Correction
Your input is important to us. Please complete this form to provide feedback related to the content on this product.
Product Title
Spot an opportunity for improvement?Share a Content Correction