Learn More
Invitrogen™ BRMS1 Polyclonal Antibody

Rabbit Polyclonal Antibody
Supplier: Invitrogen™ PA5120312
Description
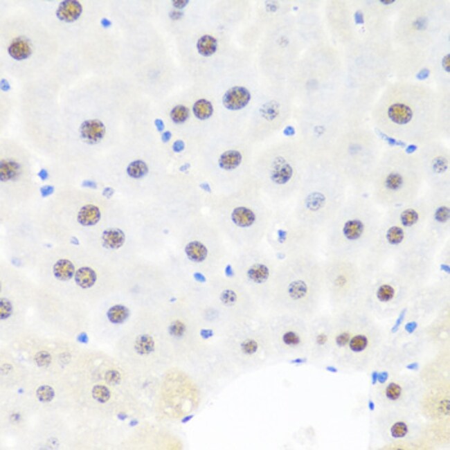
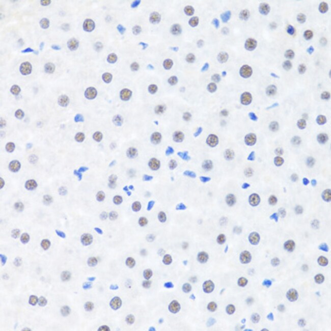
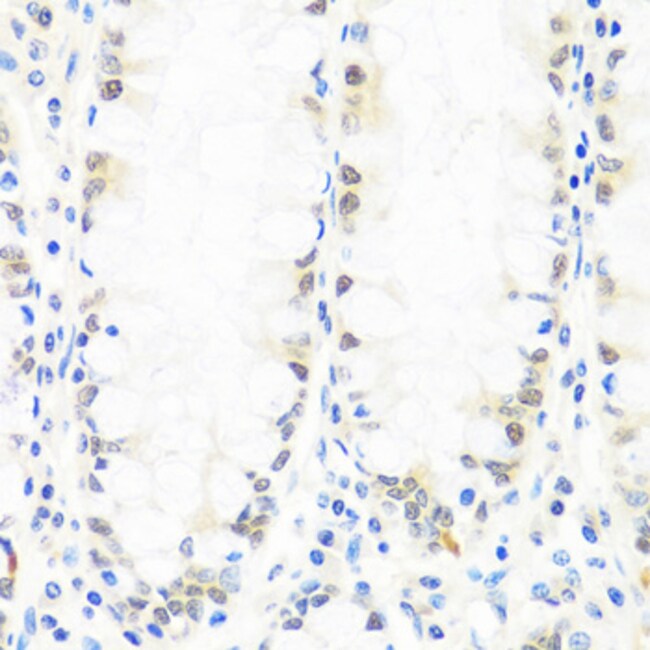
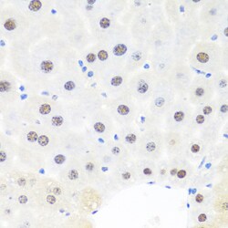
Positive test controls include: Mouse kidney, Mouse testis. The target is usually found in the following locations: Cytoplasm, Nucleus. Immunogen sequence: LEEVGAERAP EYTEPLGGLQ RSLKIRIQVA GIYKGFCLDV IRNKYECELQ GAKQHLESEK LLLYDTLQGE LQERIQRLEE DRQSLDLSSE WWDDKLHARG SSRSWDSLPP SKRKKAPLVS G.
This gene reduces the metastatic potential, but not the tumorogenicity, of human breast cancer and melanoma cell lines. The protein encoded by this gene localizes primarily to the nucleus and is a component of the mSin3a family of histone deacetylase complexes (HDAC). The protein contains two coiled-coil motifs and several imperfect leucine zipper motifs. Alternative splicing results in two transcript variants encoding different isoforms.
Specifications
BRMS1 | |
Polyclonal | |
Unconjugated | |
BRMS1 | |
AV003220; AW554636; breast cancer metastasis suppressor 1; breast cancer metastasis-suppressor 1; Breast cancer metastasis-suppressor 1 homolog; BRMS 1; BRMS1 | |
Rabbit | |
Affinity Chromatography | |
RUO | |
107392, 25855, 293668 | |
-20°C, Avoid Freeze/Thaw Cycles | |
Liquid |
ELISA, Immunohistochemistry (Paraffin), Western Blot, Immunocytochemistry | |
2.91 mg/mL | |
PBS with 50% glycerol and 0.01% thimerosal; pH 7.3 | |
Q5M7T3, Q99N20, Q9HCU9 | |
BRMS1 | |
Recombinant fusion protein containing a sequence corresponding to amino acids 90-210 of human BRMS1 (NP_056214.1). | |
100 μL | |
Primary | |
Human, Mouse, Rat | |
Antibody | |
IgG |
Safety and Handling
Your input is important to us. Please complete this form to provide feedback related to the content on this product.