Promotional price valid on web orders only. Your contract pricing may differ. Interested in signing up for a dedicated account number?
Learn More
Learn More
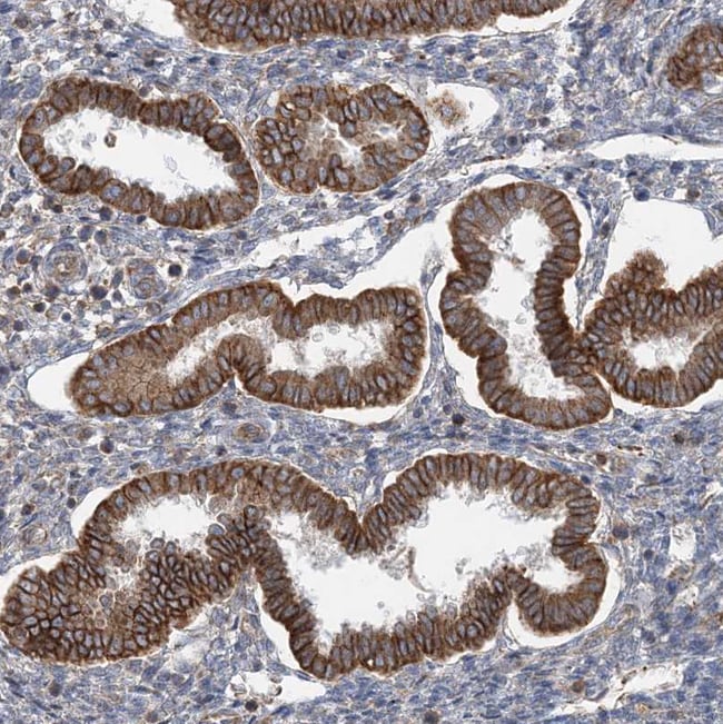
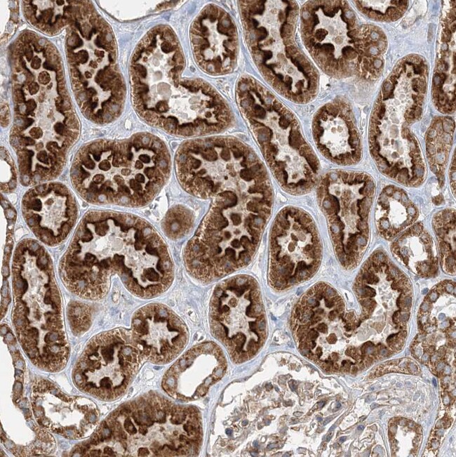
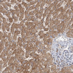
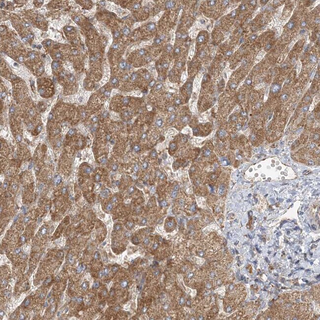
Invitrogen™ BRWD1 Polyclonal Antibody

Rabbit Polyclonal Antibody
Supplier: Invitrogen™ PA556597
Description
Immunogen sequence: RTRAAQRKTG PVSLANGCGR KATRKRVYLS DSDNNSLETG EILKARAGNN RKVLRKCAAV AANKIKLMSD VEENSSSESV CSGRKLPHRN ASAVA Highest antigen sequence identity to the following orthologs: Mouse - 82%, Rat - 82%.
WDR9.3 encodes a member of the WD repeat protein family. WD repeats are minimally conserved regions of approximately 40 amino acids typically bracketed by gly-his and trp-asp (GH-WD), which may facilitate formation of heterotrimeric or multiprotein complexes. Members of this family are involved in a variety of cellular processes, including cell cycle progression, signal transduction, apoptosis, and gene regulation. This protein contains 2 bromodomains and multiple WD repeats, and the function of this protein is not known. This gene is located within the Down syndrome region 2 on chromosome 21. Alternative splicing of this gene generates 3 transcript variants diverging at the 3' ends.
Specifications
BRWD1 | |
Polyclonal | |
Unconjugated | |
Brwd1 | |
5330419I02Rik; bromodomain and WD repeat domain containing 1; bromodomain and WD repeat-containing protein 1; BRWD1; C21orf107; D530019K20Rik; DCAF19; FLJ43918; G1-403-16; N143; repro5; transcriptional unit N143; WD repeat domain 9; WD repeat protein WDR9-form2; WD repeat-containing protein 9; WDR9 | |
Rabbit | |
Antigen affinity chromatography | |
RUO | |
54014 | |
Store at 4°C short term. For long term storage, store at -20°C, avoiding freeze/thaw cycles. | |
Liquid |
Immunohistochemistry (Paraffin) | |
0.05 mg/mL | |
PBS with 40% glycerol and 0.02% sodium azide; pH 7.2 | |
Q9NSI6 | |
Brwd1 | |
Recombinant protein corresponding to Human BRWD1. Recombinant protein control fragment (Product #RP-95905). | |
100 μL | |
Primary | |
Human | |
Antibody | |
IgG |
Product Content Correction
Your input is important to us. Please complete this form to provide feedback related to the content on this product.
Product Title
Spot an opportunity for improvement?Share a Content Correction