Promotional price valid on web orders only. Your contract pricing may differ. Interested in signing up for a dedicated account number?
Learn More
Learn More
Invitrogen™ BTNL3 Polyclonal Antibody

Rabbit Polyclonal Antibody
Supplier: Invitrogen™ PA5119885
This item is not returnable.
View return policy
Description
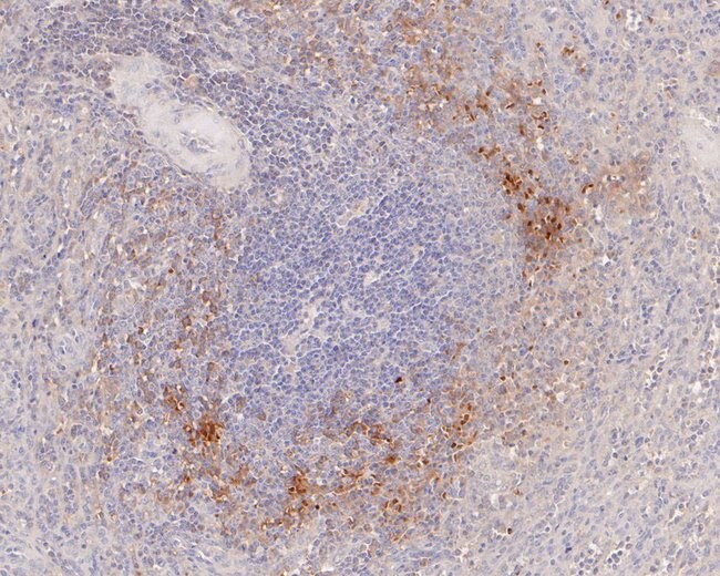
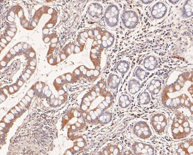
Positive Control: Jurkat cell lysate, K562 cell lysate, HL-60 cell lysate, human spleen tissue, human small intestine tissue. Subcellular Location: Membrane.
BTNL3 is expressed in small intestine, colon, testis, spleen, and leukocyte and plays a role in lipid metabolism. Two isoforms have been described.
Specifications
| BTNL3 | |
| Polyclonal | |
| Unconjugated | |
| BTNL3 | |
| BTN9.1; BTNL3; BTNLR; butyrophilin like 3; butyrophilin-like 3; butyrophilin-like protein 3; Butyrophilin-like receptor; COLF4100; UNQ744/PRO1472 | |
| Rabbit | |
| Antigen affinity chromatography | |
| RUO | |
| 10917 | |
| Store at 4°C short term. For long term storage, store at -20°C, avoiding freeze/thaw cycles. | |
| Liquid |
| Immunohistochemistry (Paraffin), Western Blot | |
| 1 mg/mL | |
| TBS with 0.2% BSA, 50% glycerol and 0.05% sodium azide; pH 7.4 | |
| Q6UXE8 | |
| BTNL3 | |
| Synthetic peptide within human BTNL3 aa 150-200. | |
| 100 μL | |
| Primary | |
| Human | |
| Antibody | |
| IgG |
Safety and Handling
WARNING: Cancer - www.P65Warnings.ca.gov
Product Content Correction
Your input is important to us. Please complete this form to provide feedback related to the content on this product.
Product Title
Spot an opportunity for improvement?Share a Content Correction