Promotional price valid on web orders only. Your contract pricing may differ. Interested in signing up for a dedicated account number?
Learn More
Learn More
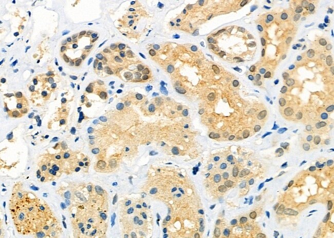
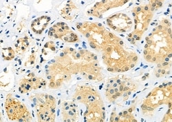
Invitrogen™ RTRAF Polyclonal Antibody

Rabbit Polyclonal Antibody
Supplier: Invitrogen™ PA5106393
Description
Antibody detects endogenous levels of total C14orf166.
RTRAF (C14orf166) is an RNA-binding protein involved in modulation of mRNA transcription by Polymerase II (PubMed:16950395). Component of the tRNA-splicing ligase complex and is required for tRNA ligation (PubMed:24870230). May be required for RNA transport (PubMed:24608264).
Specifications
| RTRAF | |
| Polyclonal | |
| Unconjugated | |
| RTRAF | |
| 2700060E02Rik; C14orf166; CGI99; CGI-99; chromosome 14 open reading frame 166; CLE; CLE7; CLE7 homolog; hCLE1; LCRP369; LRRGT00192; RGD1304704; RIKEN cDNA 2700060E02 gene; RLL motif containing 1; RLLM1; RNA transcription, translation and transport factor protein; RTRAF; similar to Hypothetical protein CGI-99; UPF0568 protein C14orf166; UPF0568 protein C14orf166 homolog | |
| Rabbit | |
| Affinity chromatography | |
| RUO | |
| 302247, 51637, 68045 | |
| -20°C | |
| Liquid |
| Immunohistochemistry (Paraffin), Western Blot, Immunocytochemistry | |
| 1 mg/mL | |
| PBS with 50% glycerol and 0.02% sodium azide; pH 7.4 | |
| Q9CQE8, Q9Y224 | |
| RTRAF | |
| A synthesized peptide derived from human C14orf166(Accession Q9Y224), corresponding to amino acid residues E24-Q74. | |
| 100 μL | |
| Primary | |
| Human, Mouse, Rat | |
| Antibody | |
| IgG |
Safety and Handling
WARNING: Cancer - www.P65Warnings.ca.gov
Product Content Correction
Your input is important to us. Please complete this form to provide feedback related to the content on this product.
Product Title
Spot an opportunity for improvement?Share a Content Correction