Promotional price valid on web orders only. Your contract pricing may differ. Interested in signing up for a dedicated account number?
Learn More
Learn More
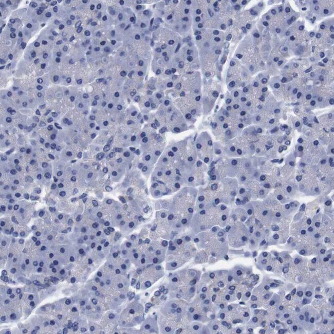
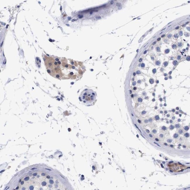
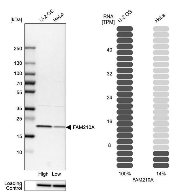
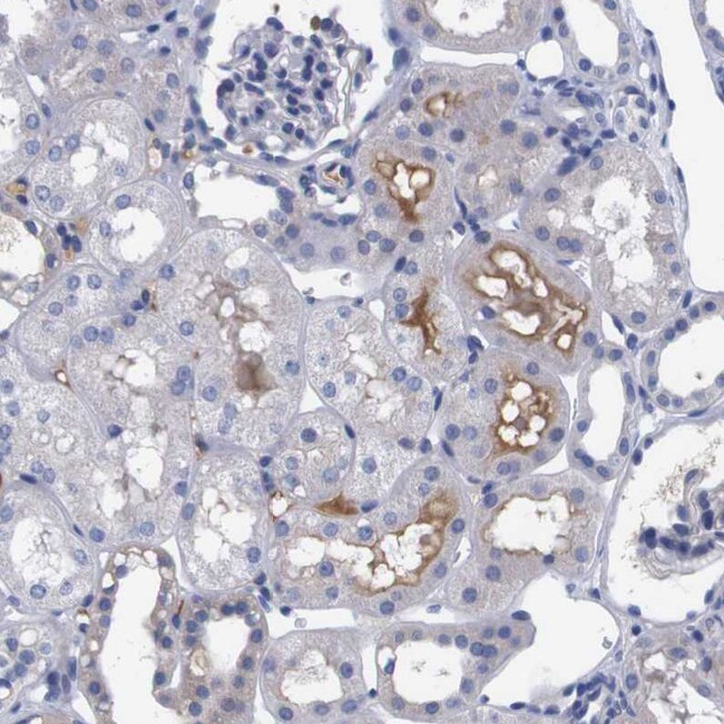
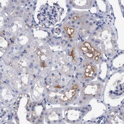
Invitrogen™ C18orf19 Polyclonal Antibody

Rabbit Polyclonal Antibody
Supplier: Invitrogen™ PA553146
Description
Immunogen sequence: ALKGVNVVPF LELIGLPDSV VSILKNSQSG NALTAYALFK IATPARYTVT LGGTSVTVKY LRSHGYMSTP PPVKEYLQDR MEETKELITE KMEETKDRLT EKLQETKE Highest antigen sequence identity to the following orthologs: Mouse - 91%, Rat - 91%.
Specifications
| C18orf19 | |
| Polyclonal | |
| Unconjugated | |
| FAM210A | |
| C18orf19; FAM210A; family with sequence similarity 210 member A; family with sequence similarity 210, member A; HsT2329; Protein FAM210A; uncharacterized protein C18orf19 | |
| Rabbit | |
| Antigen affinity chromatography | |
| RUO | |
| 125228 | |
| Store at 4°C short term. For long term storage, store at -20°C, avoiding freeze/thaw cycles. | |
| Liquid |
| Immunohistochemistry (Paraffin), Western Blot, Immunocytochemistry | |
| 0.1 mg/mL | |
| PBS with 40% glycerol and 0.02% sodium azide; pH 7.2 | |
| Q96ND0 | |
| FAM210A | |
| Recombinant protein corresponding to Human C18orf19. Recombinant protein control fragment (Product #RP-90490). | |
| 100 μL | |
| Primary | |
| Human | |
| Antibody | |
| IgG |
Safety and Handling
WARNING: Cancer - www.P65Warnings.ca.gov
Product Content Correction
Your input is important to us. Please complete this form to provide feedback related to the content on this product.
Product Title
Spot an opportunity for improvement?Share a Content Correction