Promotional price valid on web orders only. Your contract pricing may differ. Interested in signing up for a dedicated account number?
Learn More
Learn More
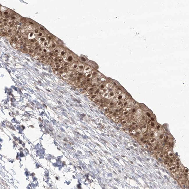
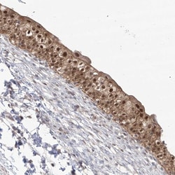
Invitrogen™ C1orf58 Polyclonal Antibody

Rabbit Polyclonal Antibody
Supplier: Invitrogen™ PA556748
Description
Immunogen sequence: LGNLVKNTLE KCQRENGFIY FQKIPTEAPQ LELKANYGLV EPIPFEFPPT SVQWTPETLA AFDLTKRPKD DSTKPKPEEE VKPVKEPDIK PQKDTGCYIS Highest antigen sequence identity to the following orthologs: Mouse - 88%, Rat - 90%.
BROX (BRO1 Domain And CAAX Motif Containing) is a Protein Coding gene with functional area in the extracellular exosome but its exact function is unknown.
Specifications
| C1orf58 | |
| Polyclonal | |
| Unconjugated | |
| BROX | |
| BRO1 domain and CAAX motif containing; BRO1 domain- and CAAX motif-containing protein; BRO1 domain-containing protein BROX; BROFTI; BROX; C1orf58; RP11-452F19.1 | |
| Rabbit | |
| Antigen affinity chromatography | |
| RUO | |
| 148362 | |
| Store at 4°C short term. For long term storage, store at -20°C, avoiding freeze/thaw cycles. | |
| Liquid |
| Immunohistochemistry (Paraffin), Western Blot, Immunocytochemistry | |
| 0.3 mg/mL | |
| PBS with 40% glycerol and 0.02% sodium azide; pH 7.2 | |
| Q5VW32 | |
| BROX | |
| Recombinant protein corresponding to Human C1orf58. Recombinant protein control fragment (Product #RP-94412). | |
| 100 μL | |
| Primary | |
| Human | |
| Antibody | |
| IgG |
Product Content Correction
Your input is important to us. Please complete this form to provide feedback related to the content on this product.
Product Title
Spot an opportunity for improvement?Share a Content Correction