Promotional price valid on web orders only. Your contract pricing may differ. Interested in signing up for a dedicated account number?
Learn More
Learn More
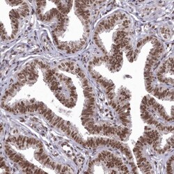
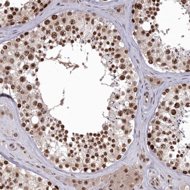
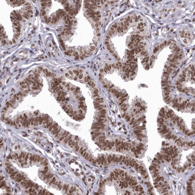
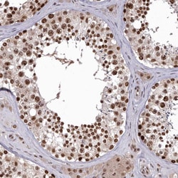
Invitrogen™ C1orf77 Polyclonal Antibody

Rabbit Polyclonal Antibody
Supplier: Invitrogen™ PA555929
Description
Immunogen sequence: GRGRGMIGRG RGGFGGRGRG RGRGRGALAR PVLTKEQLDN QLDAYMSKTK GHLDAELDAY MAQTDPETND Highest antigen sequence identity to the following orthologs: Mouse - 99%, Rat - 99%.
CHTOP is a small nuclear protein that is characterized by an arginine and glycine rich region. This protein may have an important role in the regulation of fetal globin gene expression and in the activation of estrogen-responsive genes. A recent study reported that this protein binds 5-hydroxymethylcytosine (5hmC) and associates with an arginine methyltransferase complex (methylosome), which promotes methylation of arginine 3 of histone H4 (H4R3) and activation of genes involved in glioblastomagenesis. Alternatively spliced transcript variants encoding different isoforms have been described for this gene.
Specifications
C1orf77 | |
Polyclonal | |
Unconjugated | |
CHTOP | |
2500003M10Rik; C1orf77; C3H1orf77; chromatin target of PRMT1; chromatin target of PRMT1 protein; Chtop; DKFZP547E1010; FL-SRAG; FOP; Friend of Prmt1; Friend of PRMT1 protein; HT031; hypothetical protein LOC616638; MNCb-1706; PP7704; RP1-178F15.2; similar to DKFZP547E1010 protein; small arginine- and glycine-rich protein; small protein rich in arginine and glycine; Srag; SRAG-3; SRAG-5 | |
Rabbit | |
Antigen Affinity Chromatography | |
RUO | |
26097 | |
Store at 4°C short term. For long term storage, store at -20°C, avoiding freeze/thaw cycles. | |
Liquid |
Immunohistochemistry (Paraffin), Western Blot, Immunocytochemistry | |
0.1 mg/mL | |
PBS with 40% glycerol and 0.02% sodium azide; pH 7.2 | |
Q9Y3Y2 | |
CHTOP | |
Recombinant protein corresponding to Human C1orf77. Recombinant protein control fragment (Product #RP-94351). | |
100 μL | |
Primary | |
Human | |
Antibody | |
IgG |
Product Content Correction
Your input is important to us. Please complete this form to provide feedback related to the content on this product.
Product Title
Spot an opportunity for improvement?Share a Content Correction