Promotional price valid on web orders only. Your contract pricing may differ. Interested in signing up for a dedicated account number?
Learn More
Learn More
Invitrogen™ C2orf66 Polyclonal Antibody

Rabbit Polyclonal Antibody
Supplier: Invitrogen™ PA554269
Description
Immunogen sequence: TVRNEDKWKP LNNPRNRDLF FRRLQAYFKG RGLDLGTFPN PFPTNENPRP LSFQSELTAS ASADYEEQKN SFHNYLKG Highest antigen sequence identity to the following orthologs: Mouse - 24%, Rat - 25%.
Specifications
| C2orf66 | |
| Polyclonal | |
| Unconjugated | |
| C2orf66 | |
| C2orf66; chromosome 2 open reading frame 66; IIDS6411; uncharacterized protein C2orf66; UNQ6411; UNQ6411/PRO21186 | |
| Rabbit | |
| Antigen Affinity Chromatography | |
| RUO | |
| 401027 | |
| Store at 4°C short term. For long term storage, store at -20°C, avoiding freeze/thaw cycles. | |
| Liquid |
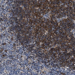
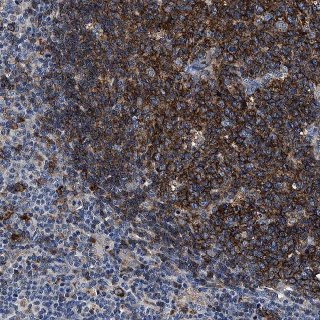
| Immunohistochemistry (Paraffin) | |
| 0.2 mg/mL | |
| PBS with 40% glycerol and 0.02% sodium azide; pH 7.2 | |
| Q6UXQ4 | |
| C2orf66 | |
| Recombinant protein corresponding to Human C2orf66. Recombinant protein control fragment (Product #RP-90574). | |
| 100 μL | |
| Primary | |
| Human | |
| Antibody | |
| IgG |
Product Content Correction
Your input is important to us. Please complete this form to provide feedback related to the content on this product.
Product Title
Spot an opportunity for improvement?Share a Content Correction