Promotional price valid on web orders only. Your contract pricing may differ. Interested in signing up for a dedicated account number?
Learn More
Learn More
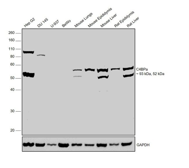
Invitrogen™ C4BPA Polyclonal Antibody

Rabbit Polyclonal Antibody
Supplier: Invitrogen™ PA542001
Description
Peptide sequence: QVLTGKRLMQ CLPNPEDVKM ALEVYKLSLE IEQLELQRDS ARQSTLDKEL Sequence homology: Human: 100%.
There are 3 variants of Complement component 4 binding protein (C4bp), which is composed of alpha and beta chains. The predominant form is a 570 kDa complex of 7 alpha chains and 1 beta chain. The other complexes formed are a 530 kDa homoheptamer of alpha chains or a 500 kDa complex of 6 alpha chains and 1 beta chain. C4bp regulates the activation of the classical complement pathway. It is a cofactor to the C3b/C4b inactivator, crucial to the proteolytic cleavage of C4b and important in cleavage of C3b. C4bp also regulates the C4bC2a complex (C3 convertase), accelerating its degradation by dissociating the complement fragment C2a. Both the C4bp alpha and beta chains interact with anticoagulant protein S and C4bp alpha binds protein S. C4bp is expressed in the blood serum.
Specifications
C4BPA | |
Polyclonal | |
Unconjugated | |
C4BPA | |
AI195242; C4b-binding protein; C4b-binding protein alpha chain; C4bp; C4bpa; complement component 4 binding protein; complement component 4 binding protein alpha; complement component 4 binding protein, alpha; proline-rich protein; PRP; RP11-164O23.4 | |
Rabbit | |
Affinity Chromatography | |
RUO | |
722 | |
-20°C, Avoid Freeze/Thaw Cycles | |
Liquid |
Western Blot | |
0.5 mg/mL | |
PBS with 2% sucrose and 0.09% sodium azide | |
P04003 | |
C4BPA | |
Synthetic peptide directed towards the middle region of human C4BPA. | |
100 μL | |
Primary | |
Human | |
Antibody | |
IgG |
Product Content Correction
Your input is important to us. Please complete this form to provide feedback related to the content on this product.
Product Title
Spot an opportunity for improvement?Share a Content Correction