Promotional price valid on web orders only. Your contract pricing may differ. Interested in signing up for a dedicated account number?
Learn More
Learn More
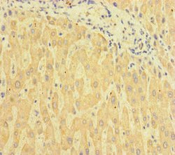
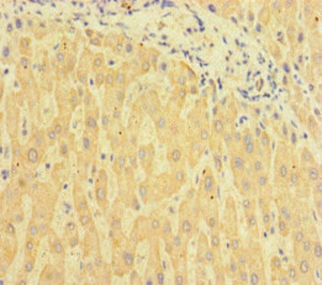
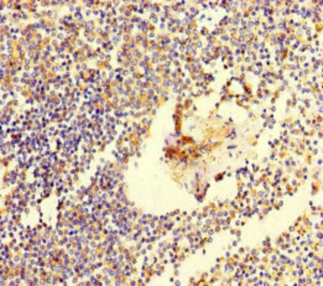
Invitrogen™ C6orf10 Polyclonal Antibody

Rabbit Polyclonal Antibody
Supplier: Invitrogen™ PA5112975
Description
C6orf10 Polyclonal Antibody for Western Blot, ICC/IF, IHC (P), ELISA
The function of this protein remains unknown.
Specifications
| C6orf10 | |
| Polyclonal | |
| Unconjugated | |
| TSBP1 | |
| C6orf10; chromosome 6 open reading frame 10; testis specific basic protein; Testis-expressed basic protein 1; TSBP; TSBP1; Uncharacterized protein C6orf10 | |
| Rabbit | |
| Protein G | |
| RUO | |
| 10665 | |
| -20°C or -80°C if preferred | |
| Liquid |
| ELISA, Immunohistochemistry (Paraffin), Western Blot, Immunocytochemistry | |
| 1 mg/mL | |
| PBS with 50% glycerol and 0.03% ProClin 300; pH 7.4 | |
| Q5SRN2 | |
| TSBP1 | |
| Recombinant Human Testis-expressed basic protein 1 protein (239-476AA). | |
| 100 μg | |
| Primary | |
| Human, Mouse | |
| Antibody | |
| IgG |
Safety and Handling
WARNING: Cancer - www.P65Warnings.ca.gov
Product Content Correction
Your input is important to us. Please complete this form to provide feedback related to the content on this product.
Product Title
Spot an opportunity for improvement?Share a Content Correction