Learn More
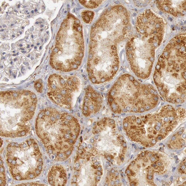
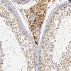
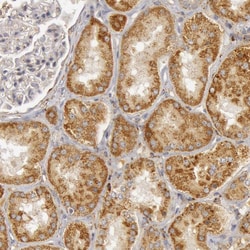
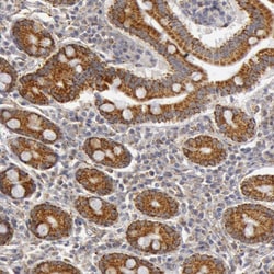
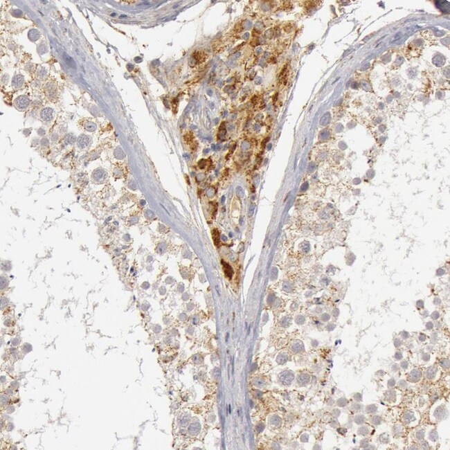
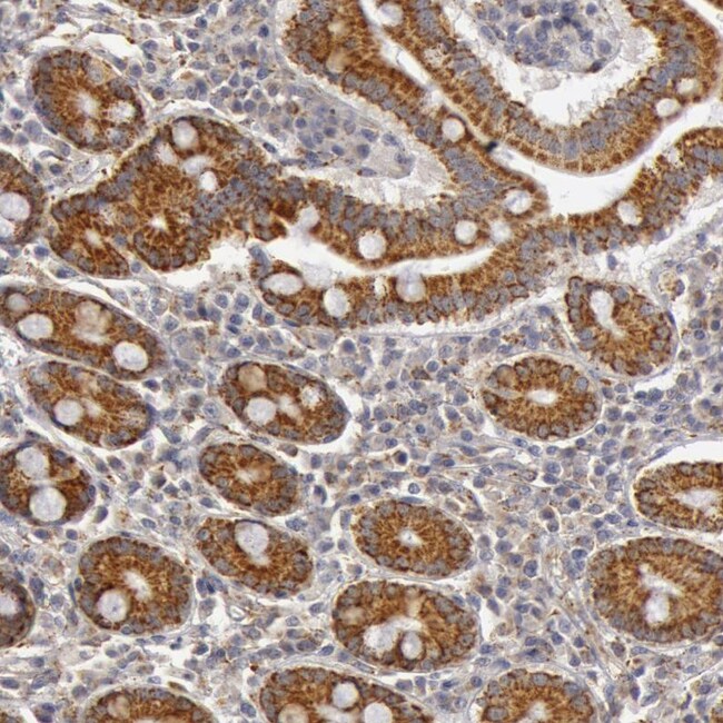
Invitrogen™ C7 Polyclonal Antibody

Description
Immunogen sequence: SAFLCGSSLK WSPEMKNARC VQKENPLTQA VPKCQRWEKL QNSRCVCKMP YECGPSLDVC AQDERSKRIL PLTVCKMHVL HCQGRNYTLT GRDSCTLPAS AEKACGACPL WGKCDAESSK CVCREASECE EEGFSICVEV NGKEQTMSEC Highest antigen sequence identity to the following orthologs: Mouse - 70%, Rat - 77%.
Specifications
Specifications
| Antigen | C7 |
| Applications | Immunohistochemistry (Paraffin) |
| Classification | Polyclonal |
| Concentration | 0.1 mg/mL |
| Conjugate | Unconjugated |
| Formulation | PBS with 40% glycerol and 0.02% sodium azide; pH 7.2 |
| Gene | C7 |
| Gene Accession No. | P10643 |
| Gene Alias | A530026G17; C7; complement component 7; complement component C7; Gm1238 |
| Gene Symbols | C7 |
| Show More |
Safety and Handling
By clicking Submit, you acknowledge that you may be contacted by Fisher Scientific in regards to the feedback you have provided in this form. We will not share your information for any other purposes. All contact information provided shall also be maintained in accordance with our Privacy Policy.