Learn More
Invitrogen™ C9orf41 Monoclonal Antibody (OTI4B7)

Description
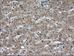
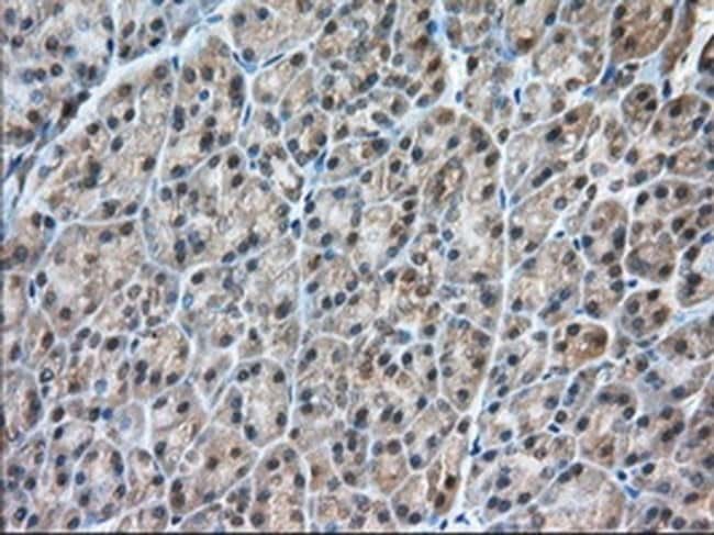
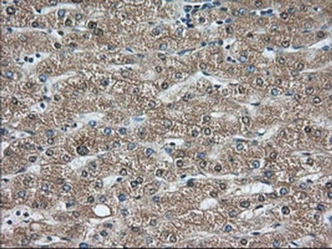
C9orf41 Monoclonal Antibody for Western Blot, ICC/IF, IHC (P), Flow
Specifications
Specifications
| Antigen | C9orf41 |
| Applications | Flow Cytometry, Immunohistochemistry (Paraffin), Western Blot, Immunocytochemistry |
| Classification | Monoclonal |
| Clone | OTI4B7 |
| Concentration | 0.87 mg/mL |
| Conjugate | Unconjugated |
| Formulation | PBS with 1% BSA, 50% glycerol and 0.02% sodium azide; pH 7.3 |
| Gene | CARNMT1 |
| Gene Accession No. | Q8N4J0 |
| Gene Alias | 2410127L17Rik; Anserine-producing methyltransferase; C1H9orf41; C9orf41; CARNMT1; Carnosine N-methyltransferase; carnosine N-methyltransferase 1; RGD1311863; RIKEN cDNA 2410127L17 gene; similar to RIKEN cDNA 2410127L17; UPF0586; UPF0586 protein C9orf41; UPF0586 protein C9orf41 homolog |
| Show More |
By clicking Submit, you acknowledge that you may be contacted by Fisher Scientific in regards to the feedback you have provided in this form. We will not share your information for any other purposes. All contact information provided shall also be maintained in accordance with our Privacy Policy.