Promotional price valid on web orders only. Your contract pricing may differ. Interested in signing up for a dedicated account number?
Learn More
Learn More
Invitrogen™ C9orf64 Polyclonal Antibody

Rabbit Polyclonal Antibody
Supplier: Invitrogen™ PA598480
Description
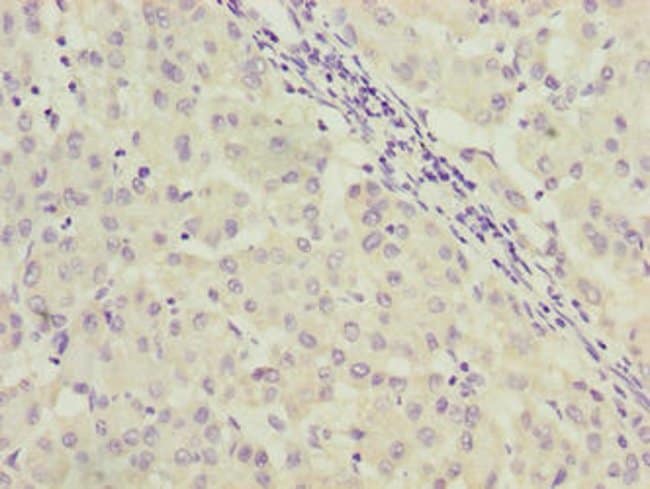
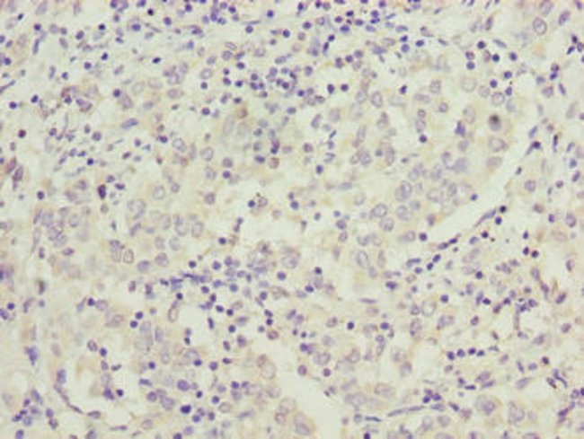
C9orf64 Polyclonal Antibody for Western Blot, IHC (P), ELISA
Involved in salvaging queuosine.
Specifications
C9orf64 | |
Polyclonal | |
Unconjugated | |
C9orf64 | |
C9orf64; chromosome 9 open reading frame 64; Queuosine salvage protein; UPF0553 protein; UPF0553 protein C9orf64 | |
Rabbit | |
Antigen Affinity Chromatography | |
RUO | |
84267 | |
-20°C or -80°C if preferred | |
Liquid |
ELISA, Immunohistochemistry (Paraffin), Western Blot | |
1 mg/mL | |
PBS with 50% glycerol and 0.03% ProClin 300; pH 7.4 | |
Q5T6V5 | |
C9orf64 | |
Recombinant Human Queuosine salvage protein (182-341AA). | |
100 μg | |
Primary | |
Human | |
Antibody | |
IgG |
Safety and Handling
WARNING: Cancer - www.P65Warnings.ca.gov
Product Content Correction
Your input is important to us. Please complete this form to provide feedback related to the content on this product.
Product Title
Spot an opportunity for improvement?Share a Content Correction