Promotional price valid on web orders only. Your contract pricing may differ. Interested in signing up for a dedicated account number?
Learn More
Learn More
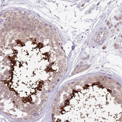
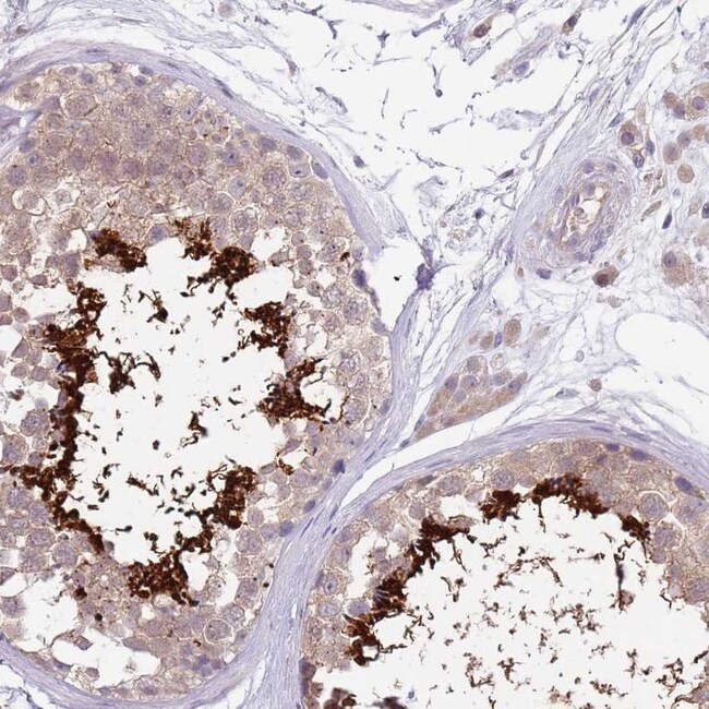
Invitrogen™ CABYR Polyclonal Antibody

Rabbit Polyclonal Antibody
Supplier: Invitrogen™ PA561593
Description
Immunogen sequence: YNDVPVTEGV VYIEQLPEQI VIPFTDQVAC LKENEQSKEN EQSPRVSPKS VVEKTTSGMS KKSVESVKLA QLEENAKYSS VYMEAEATAL LSD Highest antigen sequence identity to the following orthologs: Mouse - 58%, Rat - 56%.
Spermatozoa gain fertilization capacitation and hyperactivation after residing in the uterus or oviduct. Calcium, cAMP and protein tyrosine phosphorylation are necessary for the molecular mechanisms that allow for this transformation. CABYR (Calcium-binding tyrosine phosphorylation-regulated protein), also known as Fibrousheathin-2 or Cancer/testis antigen 88, is a 493 amino acid protein that is expressed in sperm flagella and exhibits increased tyrosine phosphorylation during capacitation. There are six named isoforms of CABYR that are produced as a result of alternative slicing events. Specifically, isoform 1 is expressed in the testis, while isoform 3 and isoform 5 are expressed in pancreas, brain and various brain tumors. Isoforms 1, 2 and 6 most likely bind calcium, whereas isoforms 3, 4 and 5 probably do not bind calcium.
Specifications
| CABYR | |
| Polyclonal | |
| Unconjugated | |
| CABYR | |
| 1700016C01Rik; 4933421A18Rik; Cabyr; CABYRa; CABYRc; CABYRc/d; CABYRe; calcium binding tyrosine phosphorylation regulated; calcium binding tyrosine-(Y)-phosphorylation regulated; calcium binding tyrosine-(Y)-phosphorylation regulated (fibrousheathin 2); calcium-binding protein 86; Calcium-binding tyrosine phosphorylation-regulated protein; calcium-binding tyrosine-(Y)-phosphorylation regulated (fibrousheathin 2); calcium-binding tyrosine-phosphorylation regulated protein; cancer/testis antigen 88; CBP86; CT88; fibrousheathin 2; fibrousheathin II; Fibrousheathin-2; FSP2; FSP-2; testis tissue sperm-binding protein Li 84P; testis-specific calcium-binding protein CBP86 | |
| Rabbit | |
| Antigen affinity chromatography | |
| RUO | |
| 26256 | |
| Store at 4°C short term. For long term storage, store at -20°C, avoiding freeze/thaw cycles. | |
| Liquid |
| Immunohistochemistry (Paraffin), Western Blot, Immunocytochemistry | |
| 0.3 mg/mL | |
| PBS with 40% glycerol and 0.02% sodium azide; pH 7.2 | |
| O75952 | |
| CABYR | |
| Recombinant protein corresponding to Human CABYR. Recombinant protein control fragment (Product #RP-98249). | |
| 100 μL | |
| Primary | |
| Human | |
| Antibody | |
| IgG |
Product Content Correction
Your input is important to us. Please complete this form to provide feedback related to the content on this product.
Product Title
Spot an opportunity for improvement?Share a Content Correction