Promotional price valid on web orders only. Your contract pricing may differ. Interested in signing up for a dedicated account number?
Learn More
Learn More
Cadherin-16 Antibody (CDH16/2125) - Azide and BSA Free, Novus Biologicals™

Mouse Monoclonal Antibody
Supplier: Novus Biologicals NBP279856
Description
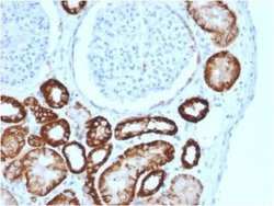
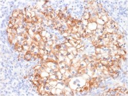
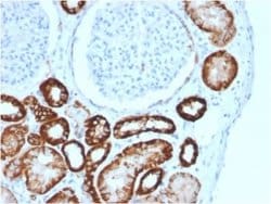
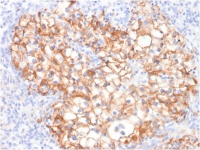
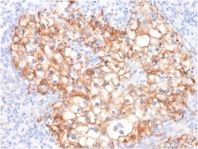
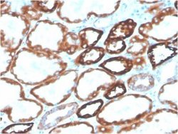
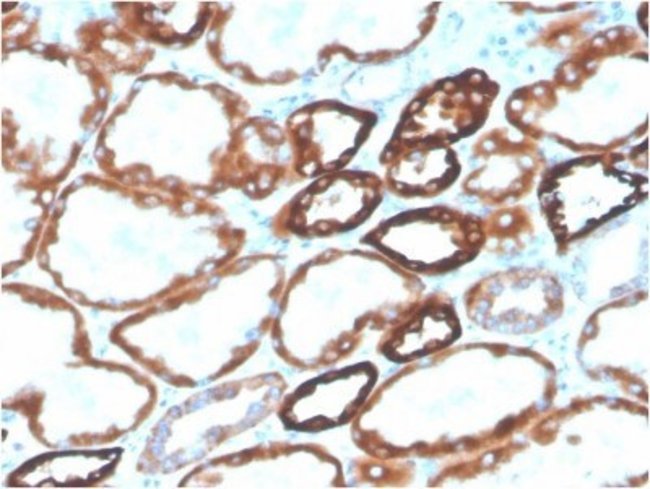
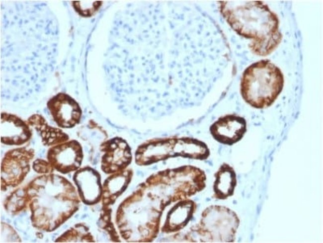
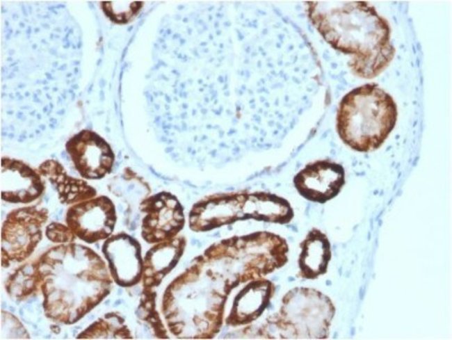
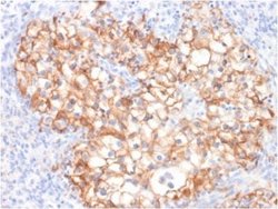
Cadherin-16 Monoclonal specifically detects Cadherin-16 in Human samples. It is validated for Western Blot, ELISA, Immunohistochemistry, Immunohistochemistry-Paraffin, Protein Array.Specifications
Cadherin-16 | |
Monoclonal | |
1 mg/mL | |
Western Blot 1-2 ug/ml, ELISA, Immunohistochemistry 1-2 ug/ml, Immunohistochemistry-Paraffin 1-2 ug/ml, Protein Array | |
cadherin 16, KSP-cadherin, cadherin-16, Kidney-specific cadherin, KSP-cadherin | |
Mouse | |
Protein A or G purified | |
RUO | |
This monoclonal antibody recognizes a protein of 130kDa, identified as Cadherin-16; Cadherin-16 has been suggested to distinguish Chromophobe Renal-Cell Carcinoma from Oncocytoma. | |
Aliquot and store at -20°C or -80°C. Avoid freeze-thaw cycles. | |
IgG1 κ |
Western Blot, ELISA, Immunohistochemistry, Immunohistochemistry (Paraffin), Peptide Array | |
CDH16/2125 | |
Unconjugated | |
10 mM PBS with No Preservative | |
CDH16 | |
Recombinant fragment (around aa 371-507) of human Cadherin-16 protein (exact sequence is proprietary) (Uniprot: O75309) | |
100 μg | |
Primary | |
Human | |
Purified |
Product Content Correction
Your input is important to us. Please complete this form to provide feedback related to the content on this product.
Product Title
Spot an opportunity for improvement?Share a Content Correction