Learn More
Invitrogen™ Calbindin D28K Recombinant Rabbit Monoclonal Antibody (JF05-01)

Description
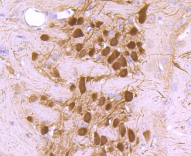
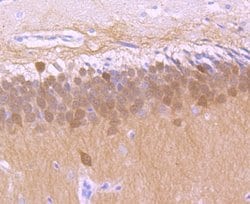
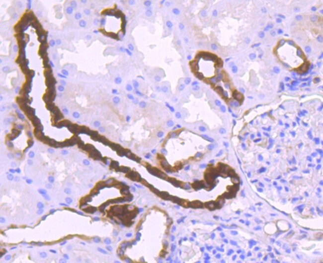
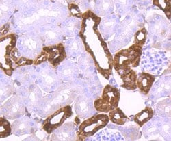
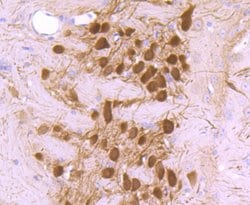
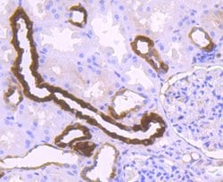
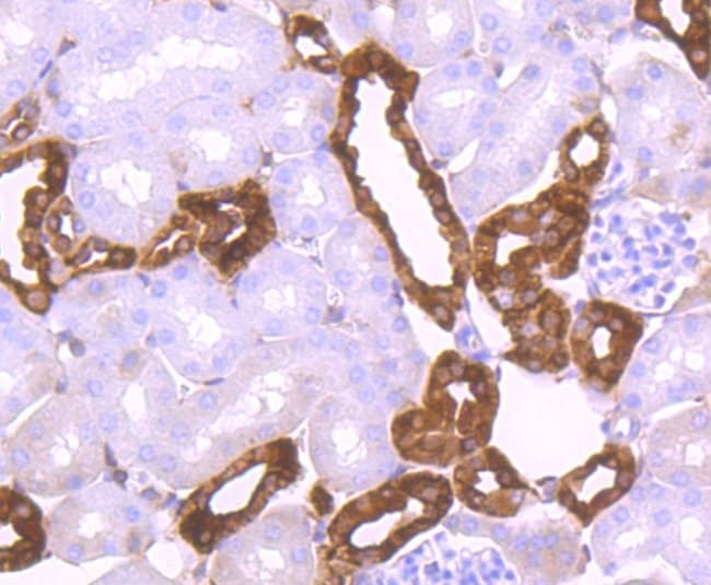
Calbindin D28K Recombinant Monoclonal Antibody for Western Blot, IHC (F), IHC (P)
Specifications
Specifications
| Antigen | Calbindin D28K |
| Applications | Immunohistochemistry (Frozen), Immunohistochemistry (Paraffin), Western Blot |
| Classification | Recombinant Monoclonal |
| Clone | JF05-01 |
| Concentration | 1 mg/mL |
| Conjugate | Unconjugated |
| Formulation | TBS with 0.05% BSA, 40% glycerol and 0.05% sodium azide; pH 7.4 |
| Gene | CALB1 |
| Gene Accession No. | P05937, P07171, P12658 |
| Gene Alias | Brain-2; CAB27; CaBP28K; Calb; CALB1; Calb-1; Calbindin; calbindin 1; calbindin 1, (28kD); calbindin 1, 28 kD; calbindin 1, 28kDa; calbindin D28; calbindin-28K; calbindin-D (28k); CalbindinD28K; CB; cerebellar Ca-binding protein spot 35 protein; cerebellar Ca-binding protein, spot 35 protein; D-28K; PCD-29; RTVL-H protein; spot 35 protein; Vitamin D-dependent calcium-binding protein, avian-type |
| Show More |
By clicking Submit, you acknowledge that you may be contacted by Fisher Scientific in regards to the feedback you have provided in this form. We will not share your information for any other purposes. All contact information provided shall also be maintained in accordance with our Privacy Policy.